Medicina
Identifican un oncogén regulado por nutrientes
Científicos del Grupo de Factores de Crecimiento, Nutrientes y Cáncer del Centro Nacional de Investigaciones Oncológicas (CNIO), en España, coordinados por el investigador Nabil Djouder, han descubierto cómo la proteína MCRS1, en respuesta a un exceso de nutrientes, induce una mayor actividad de mTOR (mammalian/mechanistic Target of Rapamycin), proteína que está alterada en enfermedades humanas como el cáncer, la diabetes y procesos asociados al envejecimiento, como ciertas patologías cardiovasculares y neurodegenerativas.
El hallazgo, que se publica en la revista Developmental Cell, abre la vía al posible desarrollo de agentes bloqueantes de MCRS1 para el tratamiento del cáncer y la diabetes, fundamentalmente.
En condiciones normales, mTOR regula funciones celulares esenciales, como la síntesis de proteínas y el crecimiento y proliferación celulares, pero una estimulación sobreactiva, en respuesta a los nutrientes y factores de crecimiento (procesos metabólicos cruciales para la biología de los tumores), provoca un incremento del crecimiento y proliferación celulares.
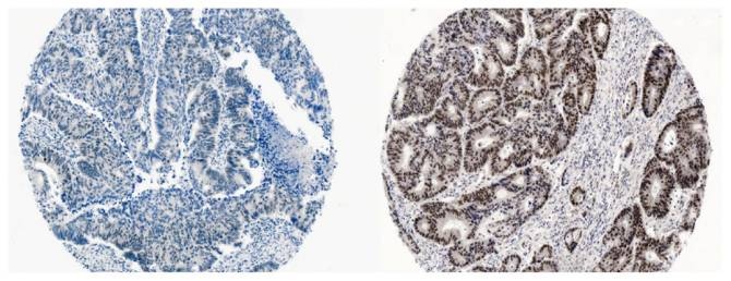
Los investigadores del CNIO han descubierto ahora cómo la proteína MCRS1, relacionada con procesos de regulación génica o muerte celular, es capaz de activar mTOR y estimular así la proliferación de las células. De este modo observan, en muestras humanas de cáncer colorrectal, una correlación entre el incremento de actividad de MCRS1 y una mayor proliferación tumoral y peor pronóstico de la enfermedad.
![[Img #26827]](upload/img/periodico/img_26827.jpg)
“Aunque en nuestro estudio publicamos los resultados obtenidos sobre estas muestras colorrectales, también estamos estudiando la relación de esta proteína con enfermedades del hígado, el órgano metabólico por excelencia”, explica Djouder.
La incidencia de cáncer y otras enfermedades asociadas ha aumentado considerablemente en las sociedades occidentales debido, en parte, a un incremento de la ingesta calórica o el sedentarismo. Por ello, comprender los procesos celulares en respuesta a un exceso de nutrientes puede contribuir a un mayor entendimiento de la biología del cáncer y, por lo tanto, las claves para combatirlo.
“Seguiremos estudiando este gen a través de diferentes modelos de ratón genéticamente modificados, en los que poder estudiar lo que ocurre cuando hay una ganancia o una pérdida de función. Ya estamos obteniendo resultados interesantes, pero necesitamos más investigación”, concluye el experto. (Fuente: CNIO)



