Medicina
Los telómeros disfuncionales pueden estar en el origen de enfermedades hepáticas
Los telómeros, regiones de ADN localizadas en los extremos de los cromosomas, protegen el material genético de las células evitando así mutaciones y alteraciones en el ADN que puedan ser fuente de enfermedad. A lo largo de la vida, estas estructuras se van desgastando en un proceso determinado tanto por factores genéticos como ambientales, de forma que alteraciones en su estructura y/o funcionamiento son una de las causas moleculares que subyace a muchas enfermedades asociadas al envejecimiento. Hasta la fecha, su posible papel en la patología hepática como la cirrosis, la hepatitis, o el cáncer de hígado era desconocido.
Ahora, un equipo del Centro Nacional de Investigaciones Oncológicas (CNIO), en España, ha creado un modelo de ratón que recapitula el origen de enfermedades humanas asociadas al daño hepático sostenido en el tiempo, o crónico, como la hepatitis o la cirrosis hepática, que a la vez pueden resultar con el tiempo en cáncer de hígado. El nuevo ratón, que presenta telómeros disfuncionales en el hígado, pone de manifiesto la disfunción telomérica como factor desencadenante de estas enfermedades.
El estudio, publicado en la revista Journal of Hepatology, ha sido llevado a cabo por Fabian Beier y Paula Martínez, del Grupo de Telómeros y Telomerasa del CNIO y liderado por Maria Blasco.
Para estudiar la conexión entre daño hepático y los telómeros, los investigadores generaron un ratón deficiente para la proteína TRF1 en el hígado, desprotegiendo así los telómeros de las células hepáticas y comprometiendo su funcionamiento; TRF1 forma parte de un complejo protector de los telómeros denominado shelterina (del inglés, shelter o protección), para proteger el material genético.
![[Img #26924]](upload/img/periodico/img_26924.jpg)
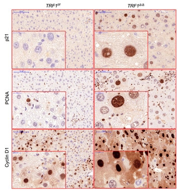
Las células hepáticas sin TRF1 (derecha) presentan, bajo estrés crónico, núcleos más grandes y otros marcadores propios de pacientes con cirrosis o hepatitis en comparación con las células normales sometidas al mismo estímulo (izquierda). (Foto: CNIO)
Cuando los autores sometieron estos ratones deficientes en TRF1 a estrés crónico mediante el agente hepatotóxico CCl4 –causante de toxicidad en el hígado– observaron que las células hepáticas, además de contener múltiples núcleos, presentaban también características propias de los pacientes con cirrosis o hepatitis, como son un incremento en los marcadores de p21, ciclina D1 o PCNA.
“Estos estudios identifican una nueva ruta molecular, la de los telómeros, en el origen de enfermedades hepáticas como la cirrosis, la hepatitis o el cáncer de hígado, así como nuevas estrategias terapéuticas con las que poder prevenirlas y combatirlas”, concluyen los investigadores.
La investigación ha contado con la financiación del Ministerio de Economía y Competitividad, la Fundación Botín, la Unión Europea y la Fundación Lilly. (Fuente: CNIO)



