Biología
Los dientes de leche nacen más tarde de lo que se pensaba
Los conocidos como dientes de leche o dientes primarios –los primeros que surgen en el ser humano– nacen más tarde de lo que se estimaba hasta ahora. Así lo revela una investigación dirigida por la Universidad Complutense de Madrid (UCM), en España.
“En nuestro estudio, realizado sobre el tamaño muestral más amplio de los llevados a cabo en España, hemos observado que la cronología eruptiva de la dentición primaria se produce algo más demorada de lo que se venía considerando”, explica Manuel Joaquín de Nova, profesor del departamento de Estomatología IV de la UCM.
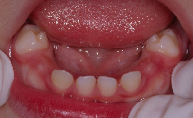
El trabajo, publicado en el European Journal of Paediatric Dentistry, analizó el proceso de dentición primaria en 1.250 niños españoles (623 chicas y 627 chicos) de entre 3 y 42 meses, procedentes de diferentes guarderías de la Comunidad de Madrid. El primer diente en nacer fue el incisivo central derecho inferior, en torno a los 11 meses, y el último, el segundo molar izquierdo superior, lo hizo alrededor de los 33 meses. En total, el proceso se prolongó una media de 22 meses.
Habitualmente, se considera que la aparición de los incisivos centrales y laterales primarios preceden al primer molar, algo que no se ha confirmado en esta investigación. “En nuestro estudio, el nacimiento del primer molar se produjo antes de la erupción de los incisivos laterales mandibulares”, destaca de Nova.
En cuanto a diferencias entre niños y niñas, en los chicos aparecieron antes los caninos, los incisivos centrales inferiores y los segundos molares. Sin embargo, no son diferencias cronológicas clínicamente importantes, según los autores.
“Son de una magnitud temporal tan escasa que difícilmente pueden ser relevantes en el ámbito clínico, si tenemos en cuenta que el desarrollo humano está sometido a una variabilidad individual que debemos considerar normal”, subraya el profesor de la UCM.
La cronología de este proceso dental es un indicador de normalidad en el desarrollo de los niños y sus variaciones pueden alertar a los profesionales sanitarios de que algo no va bien en la salud del menor.
![[Img #33631]](upload/img/periodico/img_33631.jpg)
“El proceso eruptivo de los dientes es un proceso más del desarrollo del niño y como tal, obedece de forma muy significativa a los factores genéticos. Junto a ellos, también influyen otros como el sistema endocrino o la nutrición”, enumera de Nova.
Su denominación coloquial como ‘dientes de leche’ hace referencia a su color, más claro que el de los dientes permanentes, y a que empiezan a surgir en el período de lactancia materna. (Fuente: Universidad Complutense de Madrid)


