Sábado, 31 de Enero de 2026

Actualizada Viernes, 30 de Enero de 2026 a las 16:46:49 horas

Tienes activado un bloqueador de publicidad

Intentamos presentarte publicidad respectuosa con el lector, que además ayuda a mantener este medio de comunicación y ofrecerte información de calidad.

Por eso te pedimos que nos apoyes y desactives el bloqueador de anuncios. Gracias.

Viernes, 14 de Octubre de 2016
Microbiología

Detectan ADN de araña viuda negra en un virus

Unos biólogos se han topado con ADN de araña viuda negra en un virus, al secuenciar el genoma de ese virus que ataca a la Wolbachia, una bacteria que ha conseguido infectar no solo a esa clase de arañas sino también a más de la mitad de todas las especies de artrópodos, que incluyen a insectos, arañas y crustáceos.

 

Descubrir ADN de viuda negra, concretamente relacionado con el gen de una toxina del veneno de esa temible araña fue una sorpresa total porque es la primera vez que se ha encontrado un bacteriófago (un virus que infecta a bacterias) llevando ADN de tipo animal.

 

El hallazgo lo ha hecho el equipo de Seth Bordenstein y Sarah Bordenstein, de la Universidad Vanderbilt en Nashville, Tennessee, Estados Unidos.

 

Normalmente, los bacteriófagos, como el examinado en la nueva investigación, llevan genes especializados que les permiten traspasar las barreras defensivas de las células bacterianas que son su objetivo. Pero en este caso, la porción de ADN relacionado con el gen de la toxina de la araña está intacta en el bacteriófago. También hay evidencias de que el bacteriófago produce toxinas insecticidas, pero los autores del estudio todavía no están seguros sobre cómo son utilizadas y administradas.

 

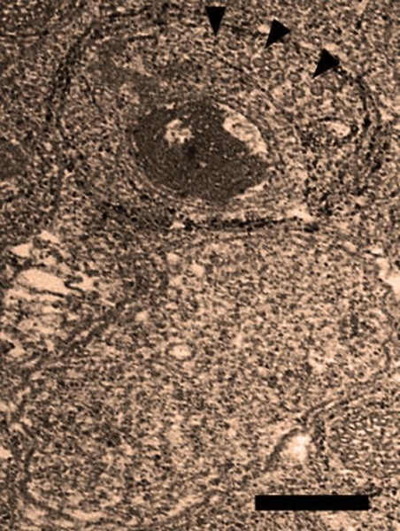
[Img #39181]

 

La microfotografía electrónica muestra dos células de Wolbachia. La de arriba está infectada con el bacteriófago analizado en el estudio, señalado por las flechas negras. La de abajo no lo está. (Foto: Bordenstein Lab, Vanderbilt University)

 

Seth Bordenstein empezó a estudiar el bacteriófago hace 15 años porque tenía curiosidad sobre cómo sobreviven y prosperan tales virus en una bacteria simbiótica como la Wolbachia, que tiene un genoma muy pequeño.

 

Información adicional

Copyright © 1996-2022 Amazings® / NCYT® | (Noticiasdelaciencia.com / Amazings.com). Todos los derechos reservados.

Depósito Legal B-47398-2009, ISSN 2013-6714 - Amazings y NCYT son marcas registradas. Noticiasdelaciencia.com y Amazings.com son las webs oficiales de Amazings.

Todos los textos y gráficos son propiedad de sus autores. La reproducción está permitida solo si se incluye el crédito de la fuente (NCYT Amazings) y un enlace dofollow hacia la noticia original.

Excepto cuando se indique lo contrario, la traducción, la adaptación y la elaboración de texto adicional de este artículo han sido realizadas por el equipo de Amazings® / NCYT®.

Con tu cuenta registrada

Escribe tu correo y te enviaremos un enlace para que escribas una nueva contraseña.