Neurología
Identifican un gen asociado a un tumor agresivo del cerebro
El glioblastoma es un tipo de cáncer muy agresivo del cerebro que afecta a 5 de cada 100.000 adultos por año a nivel mundial y para el cual aún no existe una terapia efectiva. Científicos argentinos identificaron un gen que cumple un rol clave en el desarrollo y crecimiento de ese tumor.
“A partir de estos resultados, se podría explorar el uso de este nuevo gen como complemento para el diagnóstico o el desarrollo de potenciales estrategias terapéuticas”, indicó a la Agencia CyTA-Leloir la líder del estudio, la doctora Carolina Perez Castro, del Instituto de Investigación en Biomedicina de Buenos Aires (IBioBA), en Argentina, un instituto del CONICET asociado a la Sociedad Max Planck de Alemania.
El grupo de Perez Castro empleó herramientas bioinformáticas, estudios genéticos en muestras de tumores humanos (en colaboración con el banco de cerebros de la Fundación para la Lucha contra las Enfermedades Neurológicas de la Infancia – FLENI) y modelos de desarrollo tumoral en ratones. Y descubrió que el gen KANSL2 cumple un rol crítico en la progresión de este tumor regulando la expresión genes claves de cierta población de células malignas con propiedades de células madre, llamadas “gliobastoma stem cells” o GSCs.
“Las GSCs poseen alta capacidad de autorenovación y diferenciación. Y son fundamentales para el mantenimiento y recurrencia del tumor después de tratamientos convencionales”, indicó la jefa del grupo “Células Madre Tumorales y Plasticidad Celular” en el IBioBA.
![[Img #39412]](upload/img/periodico/img_39412.jpg)
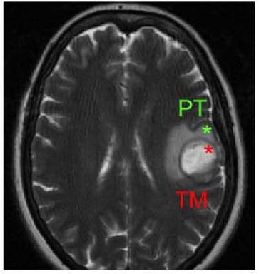
Cerebro afectado por un glioblastoma en el que se distingue la zona central de la masa tumoral (TM) de la zona periférica tumoral (PT). (Imagen: Atanasio Pandiella)
“Nuestra teoría, y la de muchos en la comunidad científica, es que justamente éste tipo de células son las que confieren resistencia a los tratamientos contra el glioblastoma”, añadió Perez Castro. “De ahí la importancia de haber descubierto algunas de las funciones del gen sobre esta población celular.”
Tal como se describe en la revista científica 'Cancer Research', los autores del estudio probaron en ratones que la disminución de KANSL2 reduce la capacidad de progresión del tumor y aumenta la sobrevida en ratones ensayados.
El trabajo también lo firman Nazarena Ferreyra Solari, Fiorella Belforte y Lucia Canedo, del grupo de Perez Castro, y el colaborador del IBioBA, Mario Rossi. Participaron también investigadores del FLENI encabezados por el doctor Gustavo Sevlever y sus colaboradores, y el doctor Joaquín Espinosa, del Instituto Linda Crnic para el estudio del Síndrome de Down, Facultad de Medicina de la Universidad de Colorado, en Estados Unidos. (Fuente: AGENCIA CYTA-INSTITUTO LELOIR/DICYT)



