Medicina
Cómo frenar el dolor de las quemaduras graves gracias a la epigenética
Una de las asignaturas pendientes de la medicina moderna es combatir de forma eficaz el dolor. Jose Vicente Torres Pérez, científico español que trabaja en el Imperial College de Londres, se ha propuesto frenar el sufrimiento en personas con graves quemaduras.
Torres ha encontrado que, bloqueando un nuevo marcador genético, puede reducir la activación neuronal causada por los estímulos dolorosos.
“Los marcadores de activación celular que más se utilizan actualmente son pERK1/2 y c-Fos, pero ambos tienen sus propias limitaciones”, explica a Sinc Torres, el único investigador español participante en el estudio que publica hoy la revista Scientific Reports.
El desarrollo y la persistencia del dolor dependen de cambios plásticos en las neuronas que procesan la información sobre los estímulos nocivos, que son las del cuerpo dorsal de la médula espinal.
Esos cambios plásticos en gran parte están regulados por mecanismos epigenéticos –es decir, cambios químicos que alteran la expresión de los genes, pero no su secuencia– como modificaciones postraduccionales de las histonas.
“La búsqueda de nuevos marcadores del dolor sigue siendo muy importante en el campo de la nocicepción –que analiza la experiencia subjetiva del dolor– y una necesidad aún no cubierta”, añade Torres Pérez.
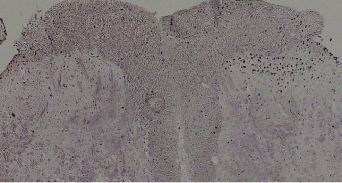
![[Img #41373]](upload/img/periodico/img_41373.jpg)
Imagen al microscopio de un corte de médula espinal. En él pueden verse las células que están activadas (en negro en la mitad derecha de la imagen). (Foto: Cortesía de Jose Vicente Torres)
Técnicamente, el equipo en el que trabaja el experto español ha demostrado en ratones que una población de neuronas superficiales de la médula espinal controla un marcador epigenético conocido como pS10H3.
“Hemos observado este efecto después de utilizar diferentes modelos animales de dolor: inducción de quemaduras, aplicación de capsaicina o estimulación eléctrica del nervio”, apunta Torres Pérez.
Por eso los autores creen que, si se bloquea esa activación, lograrán una novedosa terapia analgésica.
Para el investigador español, “pS10H3 es un novedoso marcador del procesamiento del dolor en neuronas de la médula espinal, y los cambios derivados de él son fundamentales para el normal desarrollo del dolor, lo que abre nuevas posibilidades terapéuticas”.
Los recientes avances han aumentado mucho la supervivencia de los pacientes quemados, pero poco se ha conseguido para aliviar el dolor que experimentan.
Para los autores, los avances que ayuden a descifrar los mecanismos moleculares producidos en las neuronas clave para el procesado del dolor –como es el descubrimiento de esta alteración– ayudaran a encontrar nuevas estrategias terapéuticas.
“Nosotros proponemos que bloquear esta modificación epigenética puede ser una novedosa estrategia para intentar disminuir o eliminar completamente el dolor después de dichos procesos”, concluye Torres Pérez. (Fuente: SINC)



