Medicina
Nueva diana terapéutica en tratamientos oculares
El IGF-1 es un péptido con funciones neuroprotectoras en el sistema nervioso central (SNC). Esta biomolécula también desempeña un papel importante en el crecimiento de las neuronas, así como en el mantenimiento de la plasticidad sináptica. De hecho, la resistencia al IGF-1 en el sistema nervioso central es la responsable de la pérdida de sus funciones neuroprotectoras en patologías tan importantes como alzhéimer y párkinson.
En los últimos años se ha descubierto además que ratones deficientes en Igf1 –el gen que codifica IGF-1– presentan hipoacusia congénita severa (pérdida del sentido del oído). Más recientemente, un equipo de científicas del Instituto de Investigaciones Biomédicas "Alberto Sols" (IIBM), en España, identificó en estos ratones pérdida de visión progresiva asociada a la edad, acompañada de alteraciones estructurales en las primeras sinapsis de la retina.
Las investigadoras pusieron así de manifiesto que las enfermedades crónicas de la retina, entre las que se incluye la retinopatía diabética, presentan un componente común de neuroinflamación y neurodegeneración.
Ahora, un trabajo publicado en Disease Models & Mechanisms revela que estas mismas investigadoras del IIBM (centro mixto UAM-CSIC) han estudiado las posibles causas de las alteraciones visuales de los ratones deficientes en Igf1.
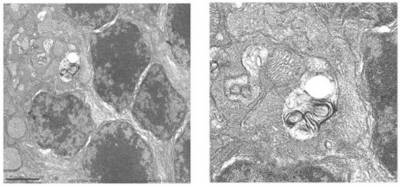
![[Img #41787]](upload/img/periodico/img_41787.jpg)
Acumulación de autofagosomas en retinas de ratones deficientes en Igf1. (Foto: UAM)
“Hemos encontrado que estos ratones presentan una inflamación crónica en la retina, con una importante activación de la microglía que se ve atenuada mediante la activación del flujo autofágico a los 6 meses de edad”, explica Ángela Martínez Valverde, coautora del trabajo y perteneciente al Centro de Investigación Biomédica en Red de Diabetes y Enfermedades Metabólicas Asociadas (CIBERDEM).
“Sin embargo, en ratones envejecidos de 12 meses de edad se produce un bloqueo de la autofagia que resulta en un aumento del número de autofagosomas en la retina. Este hecho, unido a otros procesos como la activación persistente de la microglía y del sistema inflamosoma, contribuye de manera importante a las alteraciones estructurales de la retina y a la pérdida de la función visual de los ratones deficientes en Igf1 durante el envejecimiento”, añade Isabel Varela-Nieto, también coautora, e investigadora del Centro de Investigación Biomédica en Red de Enfermedades Raras (CIBERER).
De acuerdo con las expertas, este trabajo proporciona evidencias in vivo que apuntan a que la autofagia podría proteger frente a la inflamación crónica de la retina durante el envejecimiento, y sugiere que la maquinaria autofágica podría ser una diana terapéutica en tratamientos oculares. (Fuente: UAM)



