Neurología
Relacionan el autismo con una cantidad mayor de fluido cerebroespinal en el primer año de vida
Una nueva investigación muestra la existencia de una anomalía cerebral en casi el 70 por ciento de los bebés con alto riesgo de desarrollar autismo y a los que se les acaba diagnosticando esta enfermedad. El hallazgo aporta la base de una nueva herramienta predictiva para los pediatras y ayudará en la búsqueda para un posible tratamiento.
La red de investigación liderada por el Dr. Joseph Piven, de la Universidad de Carolina del Norte en Chapel Hill, Estados Unidos, ha encontrado que muchos bebés diagnosticados con autismo a los dos años de edad tenían una cantidad sustancialmente mayor de fluido cerebroespinal (líquido cefalorraquídeo) extraaxial a los 6 y a los 12 meses de edad, antes de que el diagnóstico fuera posible. También han hallado que cuanto más fluido cerebroespinal extraaxial haya a los seis meses de edad, medido a través de resonancia magnética, más severos serán los síntomas del autismo a los dos años de edad.
El fluido cerebroespinal extraaxial es fácil de ver en las resonancias magnéticas estándar y puede por tanto servir como posible biomarcador del autismo antes de que los síntomas aparezcan años después. Piven y sus colegas también creen que este hallazgo proporciona un posible blanco terapéutico para un subgrupo de personas con autismo.
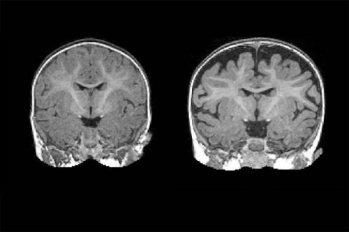
![[Img #42275]](upload/img/periodico/img_42275.jpg)
A la derecha se muestra la imagen por resonancia magnética de parte de la cabeza de un bebé que fue diagnosticado con autismo a los 2 años. El espacio oscuro entre los pliegues cerebrales y el cráneo indica cantidades mayores de fluido cerebroespinal. A la izquierda se muestra la imagen por resonancia magnética de un bebé que no fue diagnosticado con autismo a esa edad. Nótese la cantidad inferior de fluido cerebroespinal. (Fotos: Carolina Institute for Developmental Disabilities (UNC-Chapel Hill))
Tal como matiza Mark Shen, del equipo de investigación, no es probable que haya un único mecanismo que explique la causa del autismo para cada persona. Pero sí cabe esperar que la anomalía investigada proporcione pistas sobre causas concretas y el modo de tratarlas.

