Medicina
Científicos investigan la fototerapia en el combate contra el dolor neuropático
La fototerapia con láser de baja intensidad ha venido siendo apuntada en estudios recientes como una alternativa no invasiva y eficaz en el combate contra el dolor neuropático, una sensación dolorosa crónica que tiene su causa en lesiones de los nervios o de la médula, o en enfermedades tales como la diabetes.
Tres estudios recientes realizados en el Instituto de Ciencias Biomédicas de la Universidad de São Paulo (ICB-USP), en Brasil, ayudan a dilucidar los mecanismos inherentes al efecto terapéutico inducido por el láser. Las investigaciones se llevaron a cabo en el marco de un proyecto que contó con el apoyo de la FAPESP y con la coordinación de la profesora Marucia Chacur.
“Testeamos la fototerapia en distintos modelos de neuropatía en ratas y en todos ellos se registró una mejoría de la respuesta conductual. Uno de los efectos benéficos que se observaron fue la recuperación de la vaina de mielina, una capa lipídica que recubre las neuronas que actúa como aislante eléctrico y colabora en la propagación de los impulsos nerviosos”, comentó Chacur en entrevista concedida a Agência FAPESP.
En el marco de un trabajo publicado en la revista Lasers in Medical Science, se testeó el tratamiento en un modelo de neuropatía diabética, una de las complicaciones crónicas más comunes e incapacitantes de la diabetes. Este problema ocurre cuando no se controla adecuadamente la enfermedad, y entonces el exceso de glucosa en la sangre provoca la oxidación de la vaina de mielina y lesiona la estructura de niervos periféricos. Además de causar dolor, este proceso degenerativo perjudica la comunicación entre las neuronas y puede derivar incluso en la amputación de miembros.
Para inducir una condición análoga a la diabetes tipo 1, los investigadores inyectaron en los animales una sustancia conocida como estreptozotocina (STZ), que destruye las células beta del páncreas, responsables de la producción de insulina. En ese modelo, en alrededor de una semana, los animales se vuelven diabéticos. El experimento se realizó durante la maestría de Igor Rafael Correia Rocha, becario de la FAPESP.
“Empezamos el tratamiento con un láser de 904 nanómetros –capaz de llegar a los tejidos profundos– al cabo de 45 días, cuando el cuadro neuropático ya estaba claramente establecido y se había vuelto crónico”, comentó Chacur.
El grado de dolor en los roedores se evaluó antes y después del comienzo del tratamiento mediante test conductuales tales como el de filamentos de von Frey, que consiste en la aplicación de un conjunto de hilos de nailon de espesores variados que se presionan sobre las patas de los animales. Cada filamento representa una fuerza en gramos e indica el grado de presión que los animales logran soportar antes de demostrar molestias. Existen también test similares con estímulos térmicos y mecánicos.
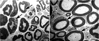
![[Img #42754]](upload/img/periodico/img_42754.jpg)
A medida que la diabetes fue avanzando se produjeron alteraciones en la estructura de la vaina de mielina que recubre el nervio ciático (izquierda). (Foto: DICYT)
“Es nuestra idea aplicarlo posteriormente en humanos, por eso hemos adoptado protocolos terapéuticos similares. Planificamos inicialmente 10 sesiones de fototerapia cada dos días, y una con una duración de un minuto sobre la zona del muslo. Pero observamos una mejoría inmediatamente después de la cuarta sesión. Por eso sacrificamos a los animales para analizar el nervio ciático”, comentó la investigadora.
Con la ayuda de un microscopio electrónico de transmisión, los científicos observaron que a medida que la diabetes fue avanzando se produjeron alteraciones en la estructura de la vaina de mielina que recubre el nervio ciático. Sin embargo, luego de las cuatro sesiones de fototerapia, la recuperación de la mielina fue prácticamente total.
“Con el tratamiento, la condición del nervio prácticamente retornó a los niveles basales. Ahora seguimos adelante con el estudio analizando la expresión de proteínas y la liberación de citocinas inflamatorias, a los efectos de entender exactamente qué está sucediendo”, dijo Chacur.
En otro trabajo realizado durante el doctorado de Mara Evany de Oliveira Silva y dado a conocer en la revista Photochemical & Photobiological Sciences, el enfoque del tratamiento también fue el nervio ciático. No obstante, en este caso se indujo la lesión mediante la compresión del nervio, en una simulación de lo que ocurre con pacientes que sufren desvíos en la columna, tales como las hernias de disco.
“Se ata el nervio, que permanece comprimido durante dos semanas, hasta que la lesión se vuelve crónica. Y entonces iniciamos la fototerapia, al 14° día. Observamos una mejoría del comportamiento inmediatamente después de la segunda sesión, y dicha mejoría se mantuvo hasta el final del tratamiento”, comentó la investigadora.
Luego de la décima sesión de fototerapia, los animales fueron sacrificados para el análisis de los ganglios de las raíces dorsales –que conforman la zona cercana a la médula espinal que contiene cuerpos de células nerviosas– por donde pasa la información sensitiva y motora.
Mediante el empleo de un metodología conocida como inmunohistoquímica, los investigadores cuantificaron en ese sitio la presencia de astrocitos, un tipo de células nerviosas implicadas en buena medida en las respuestas inflamatorias.
“Cuando existe una lesión nerviosa o un proceso inflamatorio, los astrocitos son los primeros tipos celulares que migran hacia la zona en cuestión. Son como una especie de macrófagos del sistema nervioso central, y constituyen la primera línea de defensa”, explicó Chacur.
Los análisis demostraron que en los animales tratados con láser había una cantidad reducida de astrocitos en comparación con los ratones no tratados.
“Estas células liberan diversos mediadores inflamatorios, tales como la interleucina-1 (IL1), el factor de necrosis tumoral alfa (TNF-α) y el glutamato. Esos mediadores, a su vez, desencadenan la liberación de otras sustancias inflamatorias. Imaginamos que al disminuir la migración de astrocitos hacia la zona de la lesión, el láser interfiere en ese proceso en cascada, como un medicamento antiinflamatorio”, dijo Chacur.
El siguiente paso de la investigación, según adelantó la investigadora, consistirá en analizar la concentración de cada una de las sustancias inflamatorias por separado.
El tercer modelo en el cual se puso a prueba el tratamiento fue el de dolor orofacial: en este caso, se induce la lesión mediante el aplastamiento del nervio alveolar inferior, una de las ramas del nervio trigémino, que se encarga de inervar todo el rostro.
“Este tipo de lesiones pueden producirse durante el proceso de extracción de una muela del juicio, por ejemplo. Muchos odontólogos están utilizando actualmente el láser para mitigar el dolor en sus pacientes”, afirmó Chacur.
La fototerapia se puso en marcha dos días después de la lesión en el nervio. La mejoría en el comportamiento doloroso relacionado con dicha lesión del nervio se observó al cabo de dos sesiones y se mantuvo en el transcurso de todo el tratamiento, que comprendió 10 sesiones: una cada dos días.
Los animales fueron entonces sacrificados y se analizó la presencia de diversas proteínas en el tejido tratado mediante el empleo de una técnica conocida como Western blot.
“Notamos que la aplicación del láser de baja intensidad moduló la expresión de mediadores inflamatorios y neuropéptidos que contribuyen al desarrollo de una respuesta dolorosa mediante la sensibilización de las neuronas nociceptivas trigeminales. En muchos estudios se ha informado que el aumento de la liberación del péptido relacionado con el gen de la calcitonina [CGRP] y la sustancia P [SP] en las terminaciones del nervio trigémino contribuye para el desarrollo de hiperalgesia periférica. En nuestro modelo hemos observado que ese cuadro se revirtió en los animales sometidos al protocolo de terapia con láser. Estos hallazgos pueden tener impacto en la mejora de los protocolos existentes mediante el empleo de láser de baja intensidad”, dijo la investigadora.
Este trabajo se llevó adelante durante el posdoctorado de Daniel de Oliveira Martins, becario de la FAPESP. Y sus resultados saldrán publicados en Journal of Biological Regulators & Homeostatic Agents en poco tiempo más.
“Procuramos entender los mecanismos y los mediadores implicados porque creemos que la fototerapia puede aplicarse en asociación con tratamientos farmacológicos para actuar en vías distintas. De esta forma, se podrían disminuir las dosis del medicamento y, por consiguiente, los efectos sistémicos del tratamiento”, dijo Chacur.
Según la investigadora, los resultados sugieren que en los tres modelos de dolor neuropático estudiados existe un mecanismo común, que comprende la regeneración de la vaina de mielina y la merma de la migración de astrocitos hacia la zona de la lesión.
“Evidencias que figuran en la literatura sugieren también un efecto sobre las mitocondrias. El láser facilitaría el flujo de calcio en este orgánulo, aumentando así la producción de ATP [trifosfato de adenosina, el combustible celular] y desencadenando una mejoría de la cicatrización y de la liberación de mediadores que ayudan en el remodelado. En estudios futuros pretendemos investigar mejor este efecto sobre las mitocondrias”, concluyó la investigadora. (Fuente: AGENCIA FAPESP/DICYT)



