Medicina
Rellenan células con colesterol para el estudio de la aterosclerosis
¿Cómo se forman los cristales de colesterol? Teniendo en cuenta que existe una relación entre la acumulación de los cristales, la presencia de placas dentro los vasos sanguíneos y la supervivencia de los pacientes, un grupo de investigación del Weizmann Institute of Science de Israel lo está investigando.
Para ello, los científicos han rellenado macrófagos, unas células del sistema inmunitario involucradas precisamente en la formación de las placas de ateroma, con colesterol. La acumulación en estas placas que bloquean el torrente sanguíneo es una característica de la aterosclerosis, principal precursor de muchas enfermedades cardiovasculares.
Estos macrófagos con colesterol son la causa de la inflamación que ocurre previa a la aparición de la placa de ateroma. Se encuentran unidos a las paredes internas de los vasos sanguíneos y, cuando todavía están vivos, producen cristales de colesterol que son excretados fuera.
Los macrófagos mueren liberando el colesterol restante que les quedaba dentro. Sin embargo, aún no se conoce perfectamente este mecanismo de formación de los cristales de colesterol. Esta información ayudaría a descubrir cómo inhibir el proceso y desarrollar tratamientos más efectivos para la aterosclerosis.
![[Img #45923]](upload/img/periodico/img_45923.jpg)
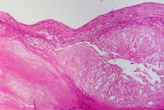
Placa aterosclerótica con vacíos de cristales de colesterol, macrófagos y fibrosis. (Foto: Patho)
Los investigadores llevaron a cabo un experimento con el Sincrotrón ALBA, donde han usado el microscopio de transmisión de rayos X blandos de la línea de luz MISTRAL y han obtenido tomografías (imágenes 3D) de los macrófagos con los cristales de colesterol.
El equipo ya había observado in vitro que los cristales (que son de tres dimensiones) pueden formarse gracias a la adhesión a otras moléculas de colesterol (de dos dimensiones) que se encuentran en las membranas de las células. El principal objetivo e verificar esta hipótesis en un sistema biológico y visualizar a los macrófagos secretando los cristales de colesterol.
El equipo técnico disponible a la línea MISTRAL desempeña un papel clave en este tipo de experimentos, ya que permite obtener tomografías de la célula entera. El microscopio de MISTRAL no es invasivo: no es necesario seccionar la célula en finas capas, así se puede observar toda ella entera en unas condiciones muy cercanas a las naturales. Hay solo tres líneas más como MISTRAL en el mundo: Reino Unido, Alemania y Estados Unidos). (Fuente: SINC)



