Medicina
Células inmunes provocan la periodontitis, enfermedad inflamatoria de las encías
Un grupo internacional de investigadores, entre los que se encuentra Loreto Abusleme, de la Universidad de Chile, ha descubierto que cuando la población de microbios de la boca se ve alterada puede desencadenar células inmunitarias que dan paso a una periodontitis, un trastorno inflamatorio común de las encías. Este hallazgo, publicado hoy en la revista Science Translational Medicine, podría dar paso a nuevos enfoques en el tratamiento de esta enfermedad.
La enfermedad periodontal afecta a casi la mitad de los adultos mayores de 30 años y al 70 por ciento de los mayores de 65 años, según estudios realizados en Estados Unidos. En los afectados, las bacterias desencadenan la inflamación de los tejidos que rodean los dientes, lo que puede conducir a la pérdida de hueso y dientes en una etapa avanzada, que es lo que se conoce como periodontitis.
“Eliminar las bacterias cepillándose los dientes y realizando otros cuidados dentales permite controlar la inflamación, pero no de manera permanente, lo que sugiere que hay otros factores en juego", explica la autora principal del estudio, Niki Moutsopoulos, investigadora del National Institute of Dental and Craniofacial Research (NIDCR).
Según la información recogida por DiCYT, los resultados de esta investigación sugieren que las células inmunitarias conocidas como células T helper 17 (Th17) son impulsoras de este proceso, lo que proporciona el vínculo entre las bacterias orales y la inflamación.

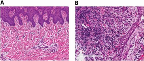
Tejido de control (A) y de paciente con periodontitis (B). (Imagen: N. Dutzan et al. Science Translational Medicine)
Estas células son mucho más prevalentes en el tejido de las encías de los humanos con periodontitis que en las encías sanas y la cantidad de células Th17 se correlacionaba con la gravedad de la enfermedad, según observaron los científicos.
Estas células suelen vivir en la boca, la piel y el tracto digestivo, donde algunos gérmenes tienen su primer contacto con el cuerpo. Aunque protegen contra la candidiasis oral, una infección micótica de la boca, también están relacionadas con enfermedades inflamatorias como la psoriasis y la colitis, lo que sugiere que desempeñan un doble papel en la salud y la enfermedad.
Los científicos descubrieron que, al igual que los humanos, se acumulaban más células Th17 en las encías de los ratones con periodontitis en comparación con los ratones sanos, que servían como grupo de control.
Para ver si el microbioma oral tenía algo que ver en ello, los investigadores les suministraron antibióticos y comprobaron que eliminar los microbios de la boca eliminaba la expansión de las células Th17 en las encías de los ratones con periodontitis mientras que no afectaba a otras células inmunitarias. Así comprobaron que una población bacteriana no saludable desencadena la acumulación de células Th17.
El siguiente paso era averiguar si el bloqueo de las células Th17 podría disminuir la enfermedad periodontal. Cuando los científicos modificaron genéticamente los ratones para que carecieran de células Th17 o les suministraron un fármaco que impide el desarrollo de las células Th17 obtuvieron resultados similares: la reducción de la pérdida ósea por periodontitis.
Finalmente, los investigadores estudiaron a un grupo de 35 pacientes con un defecto genético que les causó la falta de células Th17. Tal y como esperaban, estos pacientes eran menos susceptibles a la enfermedad y tenían menos inflamación y pérdida ósea en comparación con los voluntarios de la misma edad y género. (Fuente: JPA/DICYT)



