Medicina
Descubren un vínculo entre la flora intestinal y la esclerosis múltiple
La esclerosis múltiple es una enfermedad autoinmune en la que el propio sistema inmunitario del cuerpo ataca y daña el recubrimiento protector que rodea a células nerviosas. Este recubrimiento está hecho de mielina, constituyendo una membrana biológica de proteína y de sustancias grasas, razón por la cual los esfuerzos por encontrar el antígeno diana de la enfermedad se han centrado hasta ahora en los componentes de la membrana de mielina.
Los hallazgos hechos por el equipo internacional de Mireia Sospedra y Roland Martin, del Hospital Universitario de Zúrich, adscrito a la Universidad de Zúrich en Suiza, revelan ahora una aparente relación entre la flora (microbiota) intestinal y la esclerosis múltiple.
Sospedra, Martin y sus colegas han comprobado que las células T, del sistema inmunitario, reaccionan ante una enzima que se forma en las células humanas así como en bacterias encontradas frecuentemente en la flora gastrointestinal de pacientes que sufren esclerosis múltiple.
Los autores del estudio creen que las células inmunitarias son activadas en el intestino y que después migran hacia el cerebro, donde causan una cascada inflamatoria al encontrarse con la variante humana de su antígeno diana.
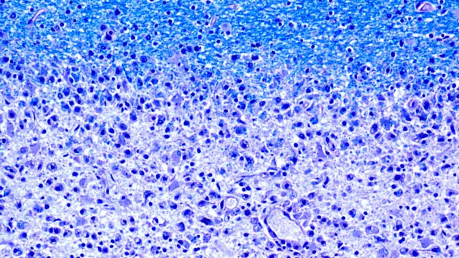
![[Img #53336]](https://noticiasdelaciencia.com/upload/images/10_2018/541_182919_web.jpg?25)
Las áreas dañadas (en la parte inferior de la imagen) de cerebros de pacientes de esclerosis múltiple carecen de mielina (arriba, en azul). (Imagen: Dra. Imke Metz, Universität Göttingen, Alemania)
Para el subgrupo genéticamente definido de pacientes de esclerosis múltiple examinados por los investigadores, los resultados muestran que, en la patogénesis de la enfermedad, la microbiota intestinal podría desempeñar un papel mucho mayor de lo que se creía previamente. Sospedra espera que estos descubrimientos puedan pronto conducir a una terapia.
En la investigación también han trabajado Raquel Planas, Paula Tomas-Ojer, Carolina Cruciani, Andreas Lutterotti y Wolfgang Faigle, del Hospital Universitario de Zúrich; Carmen Espejo y Herena Eixarch, del Hospital Universitario Vall d'Hebron, adscrito a la Universidad Autónoma de Barcelona en Cataluña; Clemencia Pinilla y Radleigh Santos, del Instituto Torrey Pines de Estudios Moleculares en Estados Unidos; así como Nicole Schaeren-Wiemers, del Hospital Universitario de Basilea en Suiza.



