Medicina
Sistema de inteligencia artificial capaz de detectar el Mal de Alzheimer años antes del diagnóstico convencional
Un diagnóstico a tiempo del Mal de Alzheimer es algo extremadamente importante, dado que los tratamientos y demás intervenciones son más efectivos en la parte inicial del curso de la enfermedad. Sin embargo, lograr un diagnóstico temprano resulta muy difícil. Diversas investigaciones han vinculado el proceso de la enfermedad a cambios en el metabolismo, como los que se aprecian en la absorción de la glucosa en ciertas regiones del cerebro, pero estos cambios pueden ser difíciles de reconocer.
El equipo de Jae Ho Sohn, Benjamin Franc y Yiming Ding, de la Universidad de California en San Francisco (UCSF), Estados Unidos, decidió probar si mediante un sistema de inteligencia artificial preparado por ellos sería posible hallar cambios en el metabolismo cerebral que pronostiquen la enfermedad de Alzheimer. Para ello, recurrieron a la estrategia del aprendizaje automático, un tipo de inteligencia artificial que permite a los programas de ordenador aprender cosas cuando son expuestos a nuevos datos, sin necesidad de ser reprogramados.
Los investigadores prepararon un algoritmo de aprendizaje profundo (una modalidad del aprendizaje automático) y lo entrenaron en el análisis de imágenes obtenidas mediante una técnica especial de tomografía por emisión de positrones. En esta técnica, se inyecta un compuesto de glucosa radiactiva en la sangre y a continuación el escaneo hace mediciones indicativas del nivel de actividad metabólica en células cerebrales.
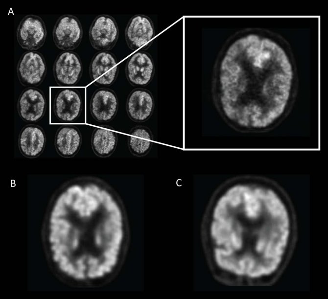
![[Img #53520]](https://noticiasdelaciencia.com/upload/images/11_2018/4474_184606_web.jpg?24)
Imágenes cerebrales obtenidas a partir de escaneos con una técnica especial de tomografía por emisión de positrones. La imagen A corresponde a un hombre de 76 años con Mal de Alzheimer. La B, a una mujer de 83 años con deterioro cognitivo leve. La C, a un hombre de 80 años sin Mal de Alzheimer ni deterioro cognitivo leve. El paciente con Mal de Alzheimer tenía en su cerebro un poco menos de materia gris que el paciente sin Mal de Alzheimer ni deterioro cognitivo leve. La diferencia entre la paciente con deterioro cognitivo leve y el que no tenía Mal de Alzheimer ni deterioro cognitivo leve resultaba prácticamente imperceptible a simple vista. (Imágenes: Radiological Society of North America)
Los investigadores adiestraron al algoritmo de aprendizaje profundo con el 90 por ciento de un conjunto de más de 2.000 imágenes de ese tipo tomadas de un millar de pacientes y luego lo probaron con el restante 10 por ciento de la base de datos, a fin de comprobar cuánto había aprendido. A través del aprendizaje profundo, el algoritmo fue capaz de enseñarse a sí mismo los patrones metabólicos que corresponden al Mal de Alzheimer.
Finalmente, los investigadores ensayaron el algoritmo sobre un conjunto independiente de 40 escaneos de otros tantos pacientes que nunca había estudiado. El algoritmo alcanzó un 100 por cien de sensibilidad en la detección de la enfermedad, y no solo eso: lo hizo valiéndose de imágenes con una antelación de aproximadamente seis años respecto del diagnóstico definitivo.
Los resultados son muy prometedores, y ahora solo faltará que se validen probando el sistema con una cantidad mucho mayor de casos y con la verificación pertinente por diversas instituciones independientes y los organismos oficiales competentes.



