Oftalmología
Pacientes con retinosis pigmentaria en primera línea de salida
La retinosis pigmentaria es una enfermedad hereditaria y degenerativa de la retina, de baja prevalencia, que se engloba dentro de las enfermedades raras. En la adolescencia los pacientes perciben una pérdida de visión nocturna, y la pérdida de visión del campo visual periférico va progresando hasta disminuir también la visión central. Esta enfermedad está causada por mutaciones. “A día de hoy se conocen más de 3.000 mutaciones en 107 genes asociados a retinosis pigmentaria. Solo se conoce el 65% de los casos, y el 35% de los casos está todavía por descubrir”, apunta la oftalmóloga Cristina Irigoyen, profesora de la Universidad del País Vasco (UPV/EHU).
Gracias al estudio clínico y genético realizado a todos los pacientes con retinosis pigmentaria de Gipuzkoa por el Departamento de Oftalmología de la UPV/EHU, en colaboración con el Hospital Donostia, Biodonostia y Begisare, los pacientes se sitúan en primera línea de salida para los futuros tratamientos en terapia génica. Este estudio ha dado pie a crear un grupo de trabajo que seguirá investigando y que ampliará el estudio a una cantidad superior de pacientes.
Hasta ahora esta enfermedad no tenía tratamiento, pero actualmente hay diferentes tratamientos en fase de desarrollo para distintas etapas de la enfermedad. Estos últimos años, se está consiguiendo un gran avance en terapia génica: se están buscando tratamientos farmacológicos para mutaciones concretas. Estos avances conseguidos en terapia génica “han revolucionado la importancia de que los pacientes tengan su diagnóstico genético, para que en el momento en que se encuentre un tratamiento para su mutación concreta estén en primera línea de salida, o puedan participar en ensayos clínicos”, explica la doctora Irigoyen. Concretamente, “hay en marcha más de 30 ensayos cínicos, y del estudio llevado a cabo con los pacientes guipuzcoanos hemos detectado que 32 pacientes del Hospital Donostia se podrían beneficiar de los resultados de esos ensayos clínicos”, apunta.
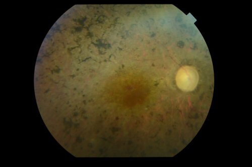
![[Img #53735]](https://noticiasdelaciencia.com/upload/images/12_2018/1899_pacientes-con-retinosis-pigmentaria-en-primera-linea-de-salida.jpg?40)
Fondo de ojo de un paciente del presente estudio con retinosis pigmentaria (Foto: Cristina Irigoyen / Hospital Donostia)
Partiendo de la petición realizada por Begisare, asociación de pacientes de retinosis pigmentaria de Gipuzkoa, se ha hecho una exploración completa a los pacientes de Gipuzkoa y así se ha elaborado un registro en el que se correlacionan aspectos genéticos y clínicos, es decir, “hemos intentado relacionar ciertas mutaciones con aspectos clínicos de los pacientes, para conseguir orientar los estudios genéticos: resulta más fácil hacer el estudio genético si sospechas de una mutación en un gen en concreto”, explica la doctora.
La profesora de la UPV/EHU afirma que el diagnóstico es clave para dar consejo genético al paciente y para tratar las complicaciones secundarias que se puedan tratar. Una vez hecho el diagnóstico, se puede dar un pronóstico al paciente sobre su enfermedad: “Dependiendo de la mutación de que se trata, el pronóstico puede ser mejor o peor”, apunta. Además, tratándose de una enfermedad hereditaria, el o la paciente puede saber si va a transmitir su enfermedad a sus descendientes y “si desea tener descendencia, se les puede ofrecer el diagnóstico genético preimplantacional en la sección de fertilidad del Hospital Donostia”, explica Irigoyen.
El estudio realizado por Cristina Irigoyen ha sentado las bases con las que se han abierto múltiples vías en el avance de la investigación: “Se trata de un estudio pionero, y hemos conseguido ampliarlo a pacientes de Álava y Bizkaia”. Además, en Biodonostia se ha conseguido crear un grupo que investiga la retinosis pigmentaria desde diferentes puntos de vista: ampliar el conocimiento acerca de los mecanismos moleculares de la enfermedad, probar nuevos tratamientos en modelos animales, revisar los ensayos clínicos actuales para ver cuáles pueden beneficiar a los pacientes, participar en un ensayo clínico multicéntrico de una terapia. (Fuente: UPV/EHU)

