Medicina
Study in mice uncovers an unknown pathway for breast cancer tumors to recur
Noticia en inglés
For many women who thought they had beaten breast cancer, the news that it has roared back years later comes as an especially cruel diagnosis with no clear answers for why or how it recurs.
Now a team of Duke Cancer Institute researchers has filled in some critically unknown details that could lead to potential strategies to halt the process.
Experimenting in mice, the researchers tracked a series of events that enable a small reservoir of treatment-resistant cancer cells to awake from dormancy, grow and spread. The findings appear online in eLife.
"These are the cells that are left over following therapy, and we haven't known much about them because we can't see them. There are too few of them to show up in mammography or PET scans," said senior author James V. Alvarez, Ph.D., assistant professor in Duke's Department of Pharmacology & Cancer Biology.
"But using mouse models that replicate recurrent HER2-positive breast cancers, which afflict about 20 percent of women, we were able to locate the residual cancer cells that survive after treatment and study them," he said.
Alvarez and colleagues, including lead author Andrea Walens, found that these residual, treatment-resistant tumor cells aren't like the original cancer cells, which grow and proliferate rapidly.
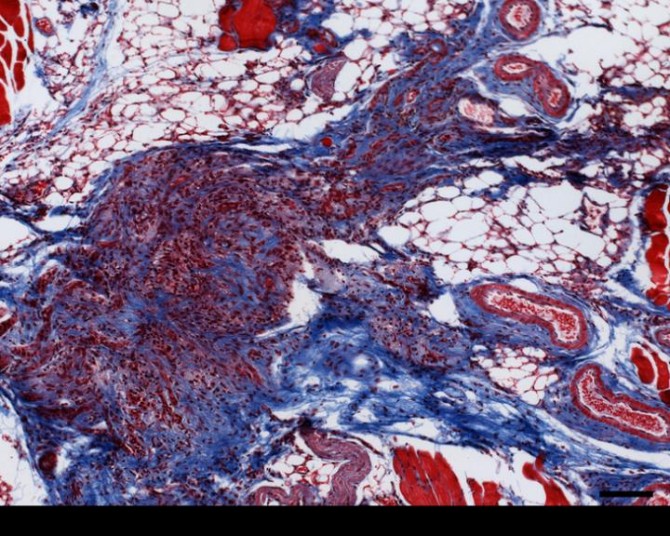
![[Img #55209]](https://noticiasdelaciencia.com/upload/images/04_2019/9690_199335_web.jpg)
Staining shows collagen deposit, in blue, within a residual breast tumor following Her2 inhibition. (Credit: Duke Health)
Instead, they lay low and begin an intricate interaction with surrounding cells, especially those of the immune system. Over time, they switch on a horde of small signaling proteins called cytokines that are vital communicators with immune cells.
Responding to the cytokines, immune cells come rushing to the tumor sites. Among the most abundant of these responding immune cells are macrophages, a type of white blood cells that digest cellular debris and deposit a form of collagen, which has been shown to be important for dormant cells to wake up and grow again.
In mapping this route to recurrence, Alvarez, Walens and their colleagues noted that the macrophages might be targetable by current drugs. They showed that one particular type of cytokine - CCL5 -- is able to accelerate tumor recurrence, and blocking it might delay or halt the process.
"There are drugs already approved or under development that inhibit macrophages in general or specifically CCL5 function," Walens said. "Our next step is to test these macrophage inhibitors to see whether they can delay or prevent recurrence in mice and if can kill the residual, dormant tumor cells.
"We are doing those experiments now in mice and if those work, we could begin trying to move to a clinical trial that would test these drugs in conjunction with anti-HER2 therapies," Walens said. (Fuente: Duke University Medical Center)



