Medicina
Impiden, en ratones, la progresión del tumor cerebral más agresivo
El glioblastoma es el cáncer cerebral más frecuente y agresivo, debido a su gran habilidad para burlar al sistema inmune. Sin embargo, la forma en que logra inducir esta tolerancia inmune no se conocía completamente. Un estudio publicado en la revista PNAS, llevado a cabo en el Instituto de Neurociencias (centro mixto del Consejo Superior de Investigaciones Científicas y la Universidad Miguel Hernández) en Alicante y el IMIB-Arrixaca de Murcia, todas estas entidades en España, ha permitido averiguar en detalle cómo consigue este tumor invadir el tejido sano sin apenas resistencia. El hallazgo podría convertirse en una diana terapéutica que frene la progresión de este cáncer cerebral.
En una investigación anterior el equipo liderado por el doctor Salvador Martínez, director del Instituto de Neurociencias, y la doctora Rut Valdor, del IMIB-Arrixaca, había mostrado cómo el glioblastoma secuestra las células contráctiles que rodean los vasos sanguíneos del cerebro y forman también parte de la barrera que lo protege. El objetivo es desactivar la función antitumoral que poseen estas células, denominadas pericitos, y obligarlas a trabajar en la expansión del tumor.
Y ahora, este mismo equipo ha averiguado cómo logra el glioblastoma este cambio en la función de los pericitos. Para que dejen de ser células defensoras y se conviertan en “enemigas”, el tumor actúa sobre uno de los “servicios de limpieza” celular: la autofagia mediada por chaperonas. Mediante la autofagia la célula descompone y destruye proteínas dañadas o anómalas. Y las chaperonas son proteínas que trabajan activamente en esta tarea. La alteración por el glioblastoma de este servicio de limpieza cambia la función de defensa proinflamatoria de los pericitos por otra inmunosupresora, que favorece la supervivencia del tumor.
Uno de los aspectos más interesantes de la investigación es que los investigadores han podido comprobar en un modelo de ratón que el bloqueo de esta autofagia anómala dificulta el desarrollo del tumor, al provocar la adhesión defectuosa del glioblastoma al pericito y, con ello, la muerte de las células cancerosas, por lo que se convierte en un objetivo terapéutico prometedor.
“Este trabajo revela una capacidad previamente desconocida del glioblastoma para modular la autofagia mediada por chaperonas (AMC) en los pericitos, y promover así la progresión del tumor. Nuestros resultados apuntan a la AMC como un objetivo terapéutico prometedor para tratar este agresivo cáncer cerebral hasta ahora sin cura”, señala el doctor Martínez.
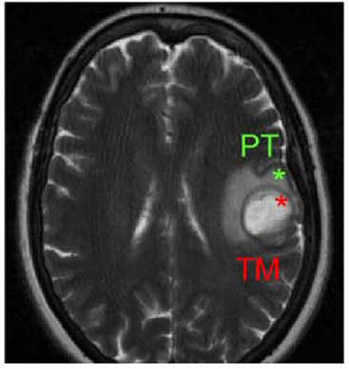
![[Img #57136]](https://noticiasdelaciencia.com/upload/images/09_2019/7743_impiden-en-ratones-la-progresion-del-tumor-cerebral-mas-agresivo.jpg)
Cerebro afectado por un glioblastoma en el que se distingue la zona central de la masa tumoral (TM) de la zona periférica tumoral (PT). (Imagen: Atanasio Pandiella)
Trabajos previos del grupo mostraron que la influencia del glioblastoma sobre el pericito impide que los linfocitos T destructivos puedan atacar al tumor. “Por eso el cerebro no detecta el glioblastoma y no puede reaccionar contra él”, explica Salvador Martínez, director del grupo de Neurobiología Experimental del Instituto de Neurociencias.
Este nuevo hallazgo del grupo estrecha el cerco contra este agresivo tumor cerebral y está en sintonía con la hipótesis actual sobre el papel de la autofagia en la supresión de los primeros estadíos del desarrollo tumoral y cómo las alteraciones en este proceso contribuyen a su progresión.
El glioblastoma multiforme es un cáncer altamente invasivo que se caracteriza por cambios en los vasos sanguíneos cerebrales y la invasión gradual de los tejidos circundantes. Es el tumor cerebral más frecuente y de peor pronóstico. A pesar de décadas de intensa investigación, su compleja biología sigue sin entenderse del todo y los tratamientos existentes no han conseguido un incremento significativo de la supervivencia. (Fuente: CSIC / DICYT)



