Medicina
Study identifies brain injury as a cause of dementia in some older adults
A UCLA-led study finds that, with the use of MRI scans, it is possible to distinguish between memory loss caused by Alzheimer's disease and traumatic brain injury.
Researchers from UCLA, along with colleagues at Washington University in St. Louis, say the finding is important because it could help prevent a misdiagnosis of Alzheimer's disease, which can be devastating for patients and their families. One study found that as many as 21 percent of older adults with dementia may be misdiagnosed with Alzheimer's disease. A misdiagnosis can result in patients not receiving the appropriate treatment, and prevents them from participating in clinical trials that could improve their overall care.
The current study, published in the Journal of Alzheimer's Disease, involved 40 UCLA patients with an average age of just under 68, who had suffered traumatic brain injury, or TBI, and later developed memory problems. According to the U.S. Centers for Disease Control and Prevention 2.87 million Americans experienced TBI in 2014, with the rates highest for people age 75 or older. Children age 4 and younger, and adults age 65 and older were most likely to suffer serious brain injuries after a fall.
"We already knew that MRIs can reveal subtle abnormalities in patients with neurological disorders, such as Alzheimer's," said Dr. Somayeh Meysami, lead author and a postdoctoral clinical research fellow in cognitive and behavioral neurology at the David Geffen School of Medicine at UCLA. "The purpose of our study was to evaluate whether MRI also could reveal distinct abnormalities in traumatic brain injury. And, if we could identify such a pattern, it would lead to improved diagnosis of TBI-related memory loss from other causes of dementia."
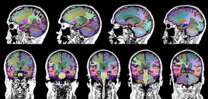
![[Img #57490]](https://noticiasdelaciencia.com/upload/images/10_2019/7797_214784_web.jpg)
A software program quantifies brain volume in study participants with TBI. (Credit: UCLA Health)
Using a software program to analyze the MRI scans, the study revealed that TBI caused the most damage to a brain region known as the ventral diencephalon, with the least amount of atrophy occurring in the hippocampus, said study author Dr. Cyrus Raji, an assistant professor of radiology at Washington University in St. Louis. The ventral diencephalon is associated with learning and emotions, whereas the hippocampus is involved in memory and emotions. The hippocampus also is the region of the brain that is most impacted by Alzheimer's disease.
"The method we used to measure brain volumes in these individuals is useful because it can be applied on the same type of MRI scans we obtain in the clinic with no special type of imaging required," Dr. Raji said.
The Alzheimer's Association estimates that up to 40 percent of dementias are caused by conditions other than Alzheimer's disease.
"Our study offers further evidence that not all memory loss is caused by Alzheimer's disease," he said. "It can attributed to TBI, as well as other dementias and neurodegenerative disorders," said Dr. Mario Mendez, a professor-in-residence of neurology, psychiatry and biobehavioral Sciences at the David Geffen School of Medicine at UCLA. (Fuente: UCLA)



