Neurología
Identifican las zonas del cerebro que se activan con un sistema de realidad virtual
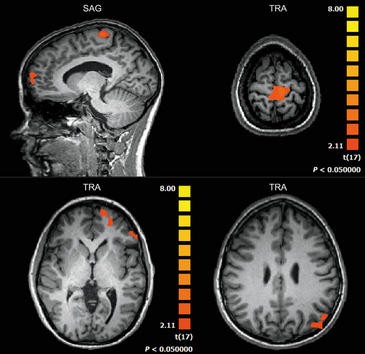
Un equipo europeo, con participación de la Universidad Pompeu Fabra (España), ha detectado que las áreas cerebrales asociadas al control motor se activan cuando se ‘juega’ con el sistema de rehabilitación virtual RGS de pacientes con lesiones cerebrovasculares. Una técnica de resonancia magnética permite visualizar las imágenes.
Diversos estudios ya habían demostrado la eficacia del Rehabilitation Gaming System (RGS), un sistema de realidad virtual desarrollado por centros catalanes para pacientes que han sufrido un ictus o accidente cerebrovascular. La herramienta ayuda a la rehabilitación motora de las extremidades superiores de estas personas con déficits neurológicos.
Ahora se publica en el European Journal of Neuroscience un nuevo trabajo que muestra como, efectivamente, el uso del sistema virtual RGS activa las áreas cerebrales asociadas con el control motor. Esto incluye la activación de las neuronas espejo, que actúan cuando una persona u otro animal ejecuta una acción imitando a otro individuo.
Según los autores, estos resultados son relevantes para seguir avanzando en las ventajas de este sistema durante la rehabilitación de pacientes.
El trabajo lo ha coordinado el grupo Sistemas Sintéticos Perceptivos, Emotivos y Cognitivos (SPECS) de la Universidad Pompeu Fabra y se ha llevado a cabo en 24 voluntarios sanos, a los que se les ha entrenado para interactuar con el sistema
Mediante una técnica de resonancia magnética –functional Magnetic Resonance Imaging o fMRI– se ha medido el flujo sanguíneo en las zonas activas del cerebro y se ha analizado la activación de las neuronas espejo en las áreas corticales, frontales y parietales de este órgano.
Para plantear el estudio, el investigador ICREA Paul Verschure, junto a su colega Armin Duff del SPECS, partieron de la hipótesis de si la rehabilitación motora observada con el uso del sistema RGS respondía a la activación de neuronas espejo, como así ha sido. (Fuente: UPF)



