Ingeniería
Diagnosticando el Alzheimer con tecnología espacial
El software utilizado para procesar las imágenes tomadas por los satélites desde el espacio ayuda a los médicos a establecer un método sencillo para estudiar la enfermedad de Alzheimer entre la población.
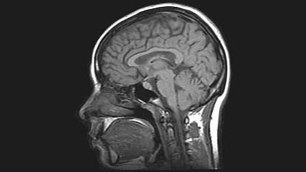
La herramienta AlzTools 3D Slicer utiliza rutinas espaciales para analizar las imágenes de resonancia magnética (IRMs), y ha sido desarrollada por los ingenieros informáticos de la empresa española Elecnor Deimos, basándose en la experiencia acumulada durante los años de desarrollo de software para la misión Envisat de la ESA.
“Cuando trabajas con una imagen por satélite, necesitas rutinas especiales para extraer información de una parte de la imagen, que puede ser un campo o una cosecha”, explica Carlos Fernández de la Peña, de Deimos. “Este píxel en concreto, ¿es un campo o una carretera?”.
El equipo de Deimos adquirió una amplia experiencia trabajando para la ESA, desarrollando sofisticadas rutinas de software que permiten analizar las imágenes por satélite, buscando patrones e identificando elementos específicos.
“El análisis de las imágenes por satélite se puede comparar con lo que tienen que hacer los médicos para comprender el resultado de los escáneres cerebrales, como las IRMs”, explica Fernández de la Peña.
“Los médicos también tienen que identificar ciertas características en la imagen que pueden ser un indicativo de disfunciones cerebrales”.
Para poder adaptar las técnicas utilizadas para el análisis de las imágenes espaciales al estudio de la enfermedad de Alzheimer, Deimos trabajó en colaboración con los especialistas de la Universidad Politécnica de Madrid.
Esta nueva herramienta ya está siendo utilizada para la investigación del Alzheimer en la Facultad de Medicina de la Universidad de Castilla la Mancha en Albacete, España.
“Trabajamos muy ligados a la industria española y a Elecnor Deimos en particular a través de ProEspacio, la Asociación Española de Compañías del Sector Espacial, para promover la adaptación de la tecnología espacial en otros sectores industriales”, explica Richard Seddon, de Tecnalia, el agente tecnológico para España del Programa de Transferencia Tecnológica de la ESA.
Aunque la tecnología espacial haya sido diseñada para unos fines muy específicos, muchas veces vemos que podría proporcionar soluciones innovadoras e inteligentes a los problemas de otros sectores, como la investigación médica en este caso.
"Es increíble ver cómo la experiencia y la tecnología desarrollada para el análisis de las imágenes por satélite puede ayudar a los médicos a comprender mejor el Alzheimer”.
Los científicos de Deimos utilizan AlzTools para analizar los datos tomados por un escáner cerebral, en vez de un satélite de observación de la Tierra. En lugar de una cosecha o de una carretera, analizan zonas del cerebro como el hipocampo, cuya atrofia está relacionada con el Alzheimer.
En ambos casos, señala Fernández de la Peña, “Tienes que encontrar sentido a una tonelada de datos”. (Fuente: ESA)



