Salud
La falta de sueño aumenta el deseo por alimentos ricos en calorías
Numerosas investigaciones han relacionado el aumento de la obesidad en los países industrializados con una constante disminución en las horas de sueño. Pero los mecanismos cerebrales implicados en el proceso aún no han sido suficientemente estudiados.
Ahora un equipo de investigadores de la Universidad de California ha demostrado que la falta de sueño causa cambios en el cerebro asociados con un mayor deseo por alimentos altamente calóricos. Los resultados del estudio se publican en la revista Nature Communications.
Según explica a SINC Matthew P. Walker, autor principal del trabajo, “estudios previos habían demostrado que las personas que duermen menos, tienden más al sobrepeso y obesidad. Nuestro estudio pretende lograr una mayor comprensión de los posibles mecanismos cerebrales que explican esta relación”.
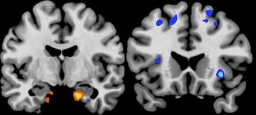
El equipo de Walker llevó a cabo un experimento en el que participaron 23 individuos sanos (13 de ellos mujeres) y examinó su actividad cerebral tras una noche completa de sueño y después de una noche sin dormir.
Durante la medición de la actividad cerebral, llevada a cabo con un escáner de resonancia magnética, los participantes fueron decidiendo cuanto querían comer de un total de 80 elementos que les fueron mostrados.
“Nuestros resultados han demostrado que las regiones del cerebro relacionadas con la toma de decisiones de alto nivel quedan embotadas por la falta de sueño a la hora de elegir alimentos. Por el contrario, las estructuras profundas del cerebro que controlan la motivación y el impulso se amplifican”, dice el investigador.
Además –añade– “un hallazgo adicional interesante fue que a los participantes privados de sueño les apetecían más los alimentos ricos en calorías”.
Walker indica que esta menor actividad cerebral en regiones que controlan las buenas decisiones, en combinación con la amplificación en aquellas más relacionadas con la recompensa inmediata, encaja bien con las teorías de que la falta de sueño favorece el aumento de peso y la obesidad
Por ello, el científico opina que "promover que la gente duerma un número adecuado de horas puede ser una buena fórmula para facilitar el control de peso en la población, favoreciendo los mecanismos cerebrales que gobiernan una buena elección de los alimentos". (Fuente: SINC)



