Medicina
Últimos análisis de un gusano que vivía dentro del cerebro de un hombre vivo
Se ha secuenciado por primera vez el genoma de una especie rara de gusano que se encontró viviendo dentro del cerebro de un paciente, y los resultados están ahora siendo analizados más detalladamente, tras un primer análisis. Lo descubierto hasta el momento sobre este gusano, del tipo de los conocidos popularmente como tenias, y lo que se descubra a partir de ahora, ayudarán a mejorar la detección y tratamiento de casos de parasitación tan infrecuentes como este.
Las tenias son parásitos que se encuentran habitualmente en el intestino, causando síntomas como debilidad, pérdida de peso y dolor abdominal. Sin embargo, las larvas de algunas especies de tenia pueden viajar más lejos, hasta áreas como los ojos, el cerebro y la columna vertebral.
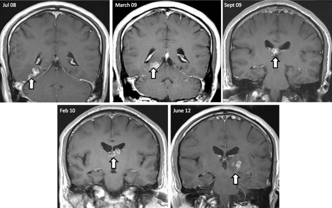
Un hombre de 50 años de etnia china fue ingresado en un hospital del Este de Inglaterra después de informar de síntomas de dolores de cabeza, olfato alterado, problemas de memoria y otros trastornos neurológicos. El paciente había vivido en el Reino Unido durante 20 años pero visitaba su patria natal a menudo. Después de dar negativo sobre varias enfermedades y no presentar ninguna otra anomalía, los médicos empezaron a hacer una serie de escaneos de su cerebro mediante resonancia magnética por imágenes. A lo largo de cuatro años, los médicos se dieron cuenta de una lesión que había migrado al menos 5 centímetros a través del cerebro, y después de efectuar una biopsia de su tálamo izquierdo, descubrieron una larva de gusano de 1 centímetro de largo. El paciente, cuya identidad no se ha dado a conocer, fue curado de su infección mediante una operación y está ahora recuperándose.
![[Img #24737]](upload/img/periodico/img_24737.jpg)
En el transcurso de cuatro años, el gusano migró 5 centímetros desde el lado derecho del cerebro al izquierdo, como se ve en esta sucesión de imágenes de las lesiones. (Foto: Hayley Bennett et al., Genome Biology 2014, 15: 510)
Se enviaron pequeñas muestras del gusano al Instituto Wellcome Trust Sanger en el Reino Unido, donde el equipo de Hayley Bennett empezó a investigar su genoma. A través de la secuenciación de su ADN, estos científicos lo identificaron como un ejemplar de Spirometra erinaceieuropaei, una rara especie de tenia que se encuentra habitualmente en China, Corea del Sur, Japón y Tailandia, y que se sabe causa infección por la ingesta de ranas o serpientes poco cocidas, por usar carne de rana para tratar heridas, o por ingerir agua contaminada.
Los investigadores secuenciaron por vez primera todo el genoma del gusano, que ha resultado tener una longitud de 1.260 millones de pares de bases, lo cual lo convierte en el genoma más grande conocido de cualquier gusano platelminto. Investigando secciones específicas del genoma del gusano, los científicos también pudieron identificar genes de resistencia para ciertos tratamientos médicos, y otros blancos potenciales para la acción de fármacos.






