Psicología
Cartografiando la extraversión en la anatomía cerebral
Unas científicas han cartografiado las similitudes y diferencias cerebrales entre dos tipos principales de personas extravertidas. La conducta de unas y otras es muy similar pero las intenciones muy distintas.
Existen dos tipos básicos de extravertidos: las personas sociables que encuentran gratificante el mero hecho de compartir sus sentimientos y aficiones con otras, y las ambiciosas que solo se muestran muy sociales y simpáticas como un medio de ganarse a la gente y lograr escalar posiciones en una jerarquía o alcanzar algún otro objetivo para beneficio propio.
Tara White y Erica Grodin, de la Universidad Brown en Providence, Rhode Island, Estados Unidos, han hecho su análisis valiéndose de escaneos estructurales mediante imágenes obtenidas por resonancia magnética de 83 hombres y mujeres de edades comprendidas entre los 18 y los 54 años. Se le considera el primer estudio de este tipo en proporcionar pruebas de las similitudes y diferencias físicas cerebrales entre tipos de personas extravertidas durante toda la juventud y la edad mediana. En un estudio anterior también se hicieron observaciones de esta clase, pero solo en personas mayores.
En el nuevo estudio, los sujetos fueron primero examinados respecto a su salud física y mental, y después fueron sometidos a tests estándar de personalidad en los que la puntuación obtenida permitió clasificarlos con arreglo a esos dos tipos principales de extraversión.
Los sujetos se sometieron después a los citados escaneos por resonancia magnética, diseñados para detectar el volumen de materia gris en diferentes regiones de su cerebro. Basándose en la literatura psicológica sobre la extraversión, White y Grodin sabían de antemano cuáles eran las regiones cerebrales de mayor interés para lo que querían examinar. Por ejemplo, una de ellas es la corteza orbitofrontal medial, que está implicada en la toma de decisiones con arreglo a una recompensa. Pero también examinaron todo el cerebro usando una técnica especial de morfometría.
Como se esperaba, encontraron que grados más elevados de un tipo u otro de extraversión se correlacionaban notablemente con volúmenes de materia gris más grandes tanto en la corteza orbitofrontal medial derecha como en la izquierda, incluso después de tener en cuenta posibles causas alternativas, como la edad.
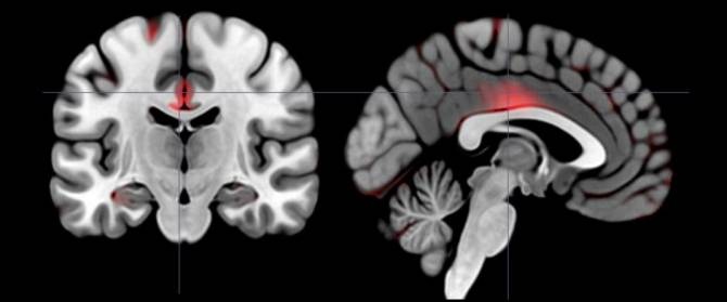
![[Img #25636]](upload/img/periodico/img_25636.jpg)
Mediante una técnica de morfometría, las investigadoras detectaron los volúmenes de materia gris en distintas regiones del cerebro. Las marcadas en rojo están asociadas con volúmenes más grandes en personas que exhiben el rasgo de personalidad de la extraversión movida por la ambición. (Imagen: Laboratorio de Tara White / Universidad Brown)
Pero además, entre las personas con niveles más altos de la extraversión alimentada por la ambición, hallaron varias otras regiones que tenían volúmenes de materia gris significativamente más grandes: el giro parahipocámpico (implicado en el aprendizaje y la memoria relativa a la recompensa), el giro precentral, el giro cingulado, y el caudado (involucrado en el control cognitivo del comportamiento y la iniciación, planificación y ejecución de acciones voluntarias hacia objetivos); y, entre los hombres en el estudio, el núcleo accumbens (involucrado en el procesamiento de las sensaciones de recompensa y de motivación, y que responde a estímulos como la comida sabrosa, el sexo y las drogas).
Así que, si bien ambos tipos de extravertidos tenían volúmenes más grandes de materia gris en una región cerebral clave, los movidos por la ambición también los tenían en varias áreas adicionales.
Las autoras del estudio avisan de que los resultados de su investigación muestran tan solo una asociación, no que un volumen más grande de materia gris afecte a los rasgos de personalidad ni cómo se produciría ello. Los resultados tampoco aclaran cuándo se desarrollan esos volúmenes más grandes de materia gris, o sea si las personas nacen con ellos o los adquieren a medida que cultivan una de las dos tendencias de extraversión. Pero, con investigaciones adicionales, los nuevos datos podrían ayudar a los científicos a entender mejor los entresijos cerebrales de esas dos clases principales de extraversión.
Los resultados de este estudio se han publicado en la revista académica “Cognitive, Affective, & Behavioral Neuroscience”, editada por Springer.





