Medicina
Hallan funciones clave de CEP63 en el desarrollo cerebral y la fertilidad
Investigadores del Instituto de Investigación Biomédica (IRB Barcelona), en España, han publicado en la revista Nature Communications detalles moleculares del síndrome de Seckel, una enfermedad de las denominadas raras que causa microcefalia, o dimensiones reducidas del cerebro, y retrasos en el crecimiento.
En un trabajo conjunto de Travis Stracker y Jens Lüders, ambos científicos del IRB Barcelona, se señala que la proteína CEP63 tiene una función clave durante el desarrollo del cerebro ya que interviene en la correcta división de las células madre cerebrales. Además, los autores han descubierto que CEP63 está relacionada con la producción de esperma, una función desconocida hasta hoy.
La microcefalia a día de hoy no tiene tratamiento. Esta deficiencia en el crecimiento del cerebro está presente en diversas patologías del neurodesarrollo, como el síndrome de Seckel. “Hay tests de diagnóstico durante el embarazo para algunas de estas patologías pero, más allá de la detección prematura, las opciones de los progenitores se reducen a dos, abortar o seguir adelante conociendo el desenlace”, explica Stracker.
“Nuestra investigación abre la vía a explorar propuestas terapéuticas para la microcefalia a través de un tratamiento que inhabilitara la proteína p53”, avanza el líder del laboratorio de Inestabilidad genómica y cáncer en el IRB Barcelona. Los científicos describen que esta proteína activa la muerte de las células madre del cerebro. Esto ocurre porque las células sin CEP63 retrasan la división celular, por lo que entran en muerte celular programada a través de p53.
“La muerte celular que se produce por mutaciones de CEP63 es la principal causa de los defectos en el cerebro. Cuando evitamos la muerte celular eliminando p53 de los embriones en desarrollo conseguimos que el cerebro se desarrolle hasta su tamaño normal”, explica por su parte Lüders, líder del Laboratorio de Organización Microtubular. Ahora queda estudiar si inhibidores de p53 podrían ser la base de un futuro tratamiento para prevenir la microcefalia.
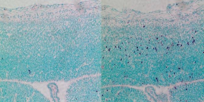
![[Img #29093]](upload/img/periodico/img_29093.jpg)
La falta de CEP63 incrementa la muerte de células madre en un cerebro de ratón en desarrollo. La imagen de la derecha muestra en violeta células madre en muerte celular. Los ratones nacen con microcefalia, característica del síndrome de Seckel. (Foto: Berta Terré, IRB Barcelona)
“Es pronto para decir que tenemos una propuesta de tratamiento en humanos porque estamos en una primera fase de descubrimientos. Además un cerebro de tamaño normal no significa que sea un cerebro funcional”, advierten los investigadores. “Nuestro siguiente objetivo es testar en estos mismos modelos de ratón inhibidores de p53 que están disponibles y caracterizar y analizar los efectos a largo plazo. Además, inhibir p53 puede ser pernicioso porque también cumple con otras funciones necesarias para el desarrollo correcto del embrión”, añaden.
Otro detalle proporcionado por el estudio es que CEP63 está relacionada con la fertilidad de los ratones machos. Los científicos han descubierto que esta proteína interviene en la generación de esperma y que sin ella los ratones sufren infertilidad severa. “Sabemos que sin CEP63 hay problemas durante la meiosis, una forma especializada de división celular necesaria para que las células germinales masculinas produzcan esperma”, añade Stracker.
“Es un resultado interesante porque en muchos casos los problemas de fertilidad no se conocen demasiado bien y el estudio nos da un nuevo ángulo molecular donde mirar”, dice Lüders.
El estudio ha sido financiado por el Plan Nacional del Ministerio de Economía y Competitividad y por el programa de la Unión Europea Marie Curie Actions, a través de una beca postdoctoral al científico Marko Marjanović, primer autor del estudio. (Fuente: IRB Barcelona)



