Medicina
Las hormonas tiroideas disminuyen el desarrollo de fibrosis
La fibrosis se caracteriza por la acumulación de matriz extracelular, sobre todo de colágeno, que conduce a la destrucción de la estructura y función del órgano afectado. Los procesos fibróticos constituyen un importante problema sanitario y son una de las causas principales de muerte en países desarrollados. Hasta el momento, no existen terapias capaces de revertir o parar su progresión.
Se sabe que la proteína TGFb tiene un papel crucial en el desarrollo de la fibrosis, por lo que se ha propuesto el uso de inhibidores de este factor para controlar procesos fibróticos, pero los compuestos disponibles son muy tóxicos y por tanto no pueden ser utilizados clínicamente.
Ahora, un estudio publicado en PNAS por científicos de la Universidad Autónoma de Madrid (UAM) y el Consejo Superior de Investigaciones Científicas (CSIC), en España, demuestra que la unión de la hormona tiroidea a su receptor nuclear frena las acciones del TGFb.
“Hemos demostrado que la administración previa de hormonas tiroideas a ratones sometidos a tratamientos con drogas que inducen fibrosis, mejora de forma significativa la deposición de colágeno y los marcadores de fibrosis”, afirma Ana Aranda, del Instituto de Investigaciones Biomédicas “Alberto Sols” (centro mixto UAM-CSIC).
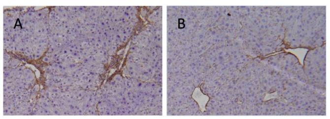
![[Img #38872]](upload/img/periodico/img_38872.jpg)
La fibrosis hepática inducida por el tetracloruro de carbono es mucho menor en el hígado de ratones a los que previamente se les administró hormonas tiroideas (B) que en los ratones normales (A). La deposición de colágeno está marcada en marrón. (Foto: UAM-CSIC)
“Por otra parte, hemos observado que ratones modificados genéticamente que carecen de los receptores de hormonas tiroideas desarrollan con la edad fibrosis hepática espontáneamente, lo que confirma el papel de estos receptores como represores endógenos de los procesos fibróticos”, agrega la investigadora.
Sin embargo, de acuerdo con los autores, las hormonas tiroideas no podrían utilizarse como agentes antifibróticos debido a sus fuertes efectos secundarios. Pero los resultados obtenidos sugieren la posibilidad de desarrollar análogos de estas hormonas con menos efectos colaterales, los cuales podrían ser útiles para bloquear la progresión de los procesos fibróticos. (Fuente: UAM)



