Biología
Caracterizado el proteoma sináptico del pez cebra
Las sinapsis del cerebro son el punto de comunicación y de transmisión de impulsos nerviosos entre neuronas. Determinan, por tanto, la organización de los circuitos neuronales, esenciales en la función global del sistema nervioso central.
En los últimos años un gran número de estudios genéticos ha identificado mutaciones en genes que se expresan en las sinapsis implicadas en enfermedades neurológicas y, especialmente, en trastornos como los del espectro autista, la esquizofrenia o la discapacidad intelectual. Estos trabajos han establecido la sinapsis como una estructura crítica en muchas patologías del cerebro, lo que ha dado lugar al concepto de sinaptopatías.
El pez cebra (Danio rerio) es un modelo animal ampliamente usado en el estudio del sistema nervioso y de sus enfermedades ya que presenta una gran homología con el cerebro humano.
Esta especie también se utiliza para el desarrollo de nuevos fármacos orientados al tratamiento de los desórdenes del cerebro, para los que, en su mayor parte, no disponemos de terapias realmente efectivas.
Investigadores del Instituto de Investigación Sant Pau, la Universidad Autónoma de Barcelona y la Universidad de Edimburgo, dirigidos por el investigador Alex Bayés, han presentado en la última edición de Nature Communcations el primer estudio del proteoma sináptico del pez cebra.
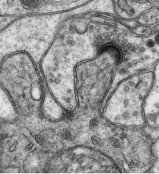
![[Img #42170]](upload/img/periodico/img_42170.jpg)
Imagen al microscopio electrónico de transmisión de sinapsis asimétricas en dos áreas del cerebro del pez cebra: el cerebelo y el telencéfalo. (Foto: UAB/IIB-Sant Pau)
Se trata de una herramienta esencial para futuros trabajos que utilicen este modelo animal para caracterizar la patofisiología de las sinaptopatías, así como para el desarrollo de fármacos dirigidos a tratarlas.
Esta primera caracterización del proteoma sináptico de un vertebrado inferior ha permitido estudiar también la evolución comparada con mamíferos. El análisis muestra cómo la evolución de los vertebrados ha favorecido el incremento en la complejidad del proteoma sináptico. Una observación que los investigadores califican de inesperada y muy interesante.
"Disponer de más proteínas sinápticas habría permitido aumentar el número de procesos moleculares que se producen así como la diversidad de tipos sinápticos. Ya que la sinapsis es la unidad cognitiva básica del cerebro, la expansión de sus componentes podría haber contribuido a la diversidad de comportamientos y capacidades intelectuales de los vertebrados", concluye Bayés. (Fuente: UAB / IIB Sant Pau)


