Ciencia de los Materiales
El interior de los metales, a la vista
Los astronautas de la Estación Espacial Internacional han iniciado un experimento que podría arrojar nueva luz sobre la formación de las aleaciones metálicas.
La humanidad ha ido avanzando al ritmo de su dominio de la metalurgia, lo que puede apreciarse en la denominación que los historiadores dan a distintos periodos, como la Edad del Bronce o la Edad del Hierro.
La mayoría de metales utilizados en la actualidad son aleaciones: mezclas de distintos metales que combinan sus propiedades para obtener materiales más ligeros y resistentes.
(adsbygoogle = window.adsbygoogle || []).push({});
Como si se tratara de un bizcocho, el resultado no solo depende de los ingredientes, ya que la fundición se ve afectada por las temperaturas del horno y el proceso de enfriamiento. Incluso existen metales que se funden en centrifugadoras de hipergravedad con el fin de conseguir la aleación perfecta.
Hoy en día encontramos aleaciones por todas partes, desde nuestros teléfonos móviles hasta los aviones en que viajamos. Lograr aleaciones más ligeras, resistentes, autorregenerantes o flexibles aporta ventajas claras tanto para la industria como para el consumidor.
Así, no es de extrañar que queramos ver con nuestros propios ojos cómo funciona la fundición de un metal desde el interior. Y lo ideal sería observar el proceso sin el factor de complejidad extra que supone la gravedad. El problema, evidentemente, es que los metales no son transparentes.
La ESA está llevando a cabo experimentos de rayos X en cohetes suborbitales, pero estos están limitados a 13 minutos de ingravidez por vuelo y los rayos X no revelan todo.
Por eso, los investigadores buscaron un sustituto de los metales hasta dar con materiales orgánicos cuidadosamente escogidos por ser transparentes pero solidificarse como un metal.
![[Img #48309]](upload/img/periodico/img_48309.jpg)
(Foto: E-USOC)
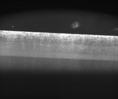
El primer lote de estas mezclas llegó a la Estación Espacial el 18 de diciembre. Una nave Dragon transportó muestras de succinonitrilo, D-alcanfor y neopentilglicol en cartuchos con paredes de vidrio, junto con una ‘tostadora’ en miniatura. Este horno Bridgman es similar a una cinta transportadora como las utilizadas en fábricas y restaurantes de comida rápida. Los cartuchos pasan a través del elemento calefactor a una velocidad terriblemente lenta: tardan más de dos días en recorrer 1 mm, pero el experimento funcionará por sí mismo durante varias semanas.
Por motivos de seguridad, un astronauta instaló el horno para aleaciones transparentes dentro de la caja de guantes estanca de la ESA y, a continuación, insertó el primer cartucho.
Un disco duro registra la vista microscópica de dos cámaras de vídeo, mientras los operadores del centro de control en Madrid destacan las distintas características usando un conjunto de luces de colores.
Estos experimentos sobre fenómenos fundamentales permiten a los científicos comprender procesos para poder controlarlos después. ¿Quién sabe qué clase de sorprendentes metales podríamos crear? Puede que la siguiente era del metal se deba a una aleación que ni siquiera somos capaces de imaginar aún. (Fuente: ESA)



