Viernes, 19 de Diciembre de 2025

Actualizada Viernes, 19 de Diciembre de 2025 a las 16:25:14 horas

Tienes activado un bloqueador de publicidad

Intentamos presentarte publicidad respectuosa con el lector, que además ayuda a mantener este medio de comunicación y ofrecerte información de calidad.

Por eso te pedimos que nos apoyes y desactives el bloqueador de anuncios. Gracias.

Redacción
Martes, 03 de Julio de 2018
Medicina

Identifican un biomarcador de la enfermedad hepática grasa no alcohólica

Científicos de la Facultad de Medicina de la Universidad de São Paulo (FMUSP), en Brasil, identificaron un marcador biológico de la enfermedad hepática grasa no alcohólica (EHGNA). Esta dolencia afecta a personas que acumulan grasa en el hígado aun cuando beben poco o no toman ninguna bebida alcohólica.

 

La existencia del referido biomarcador, descubierto en pruebas realizadas en ratas, se verificará ahora en humanos. En la actualidad, el diagnóstico de EHGNA se realiza con base en análisis de laboratorio y ecografías, y se confirma mediante biopsia del hígado. Este procedimiento es invasivo y puede revestir riesgos para la salud del paciente.

 

(adsbygoogle = window.adsbygoogle || []).push({});

 

La EHGNA se relaciona fuertemente con el síndrome de ovario poliquístico (SOP), un desequilibrio hormonal que produce anovulación (la suspensión de la ovulación) o una ovulación irregular, y que afecta hasta a un 15% de las mujeres en edad reproductiva. Si bien tanto la enfermedad hepática grasa no alcohólica como el síndrome de ovario poliquístico parecen ser consecuencia de la resistencia a la insulina, los mecanismos inherentes al desarrollo de la enfermedad hepática son poco conocidos aún.

 

En un artículo publicado en la revista Scientific Reports, los autores analizaron un perfil de metabolitos –productos del metabolismo de la glucosa y de aminoácidos y lípidos– identificados mediante espectrometría de masas dirigida (targeted metabolomics) en el hígado de un modelo del síndrome de ovario poliquístico en ratas.

 

El grupo de la FMUSP, coordinado por el profesor Gustavo Maciel, demostró que el hígado de los animales con SOP presentaba alteraciones muy parecidas a la EHGNA en humanos. Asimismo, descubrió que el aumento de los niveles de aminoácidos de cadena ramificada –leucina, isoleucina y valina, de la familia de los aminoácidos esenciales– tiene potencial como marcador de la enfermedad hepática grasa no alcohólica.

 

Este estudio, realizado en el Laboratorio de Ginecología Estructural y Molecular (LIM-58) de la Cátedra de Ginecología de la FMUSP, es el resultado de un proyecto de investigación que contó con el apoyo de la Fundación de Apoyo a la Investigación Científica del Estado de São Paulo – FAPESP y que constituyó el tema de la maestría del médico Alvaro Anzai. Y contó también con la colaboración de investigadores de la Universidad Federal de São Paulo (Unifesp) y de la University of Michigan, en Estados Unidos.

 

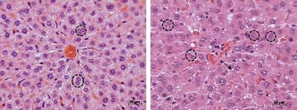
[Img #51932]

 

Estudio de la enfermedad hepática grasa no alcohólica. (Foto: Anzai et al. 2018)

 

Para arribar a estos resultados, se dividió a 30 ratas [hembras] con dos días de vida en tres grupos, y cada uno de éstos fue tratado de manera distinta. Para inducir el síndrome de ovario poliquístico, al primer grupo se le aplicó 1,25 mg de la hormona testosterona, y al segundo, 0,5 mg de estradiol. Al tercero, el grupo de control, se le suministró únicamente un placebo.

 

El modelo animal con inducción por estradiol reprodujo un fenotipo más benigno del síndrome. Si bien la ovulación no se concretó, no se registró un compromiso metabólico en el grupo, ni niveles elevados de la hormona testosterona (cosa común en casos de SOP). En tanto, en los animales con inducción por testosterona se hallaron las principales alteraciones y la forma más grave del síndrome: anovulación crónica, resistencia a la insulina, niveles elevados de testosterona e hígado graso.

 

Con base en la identificación y en la cuantificación de las sustancias provenientes de diversos procesos celulares (metabolitos) del tejido del hígado de los animales, fue posible reconocer patrones específicos de cada grupo, plantear hipótesis sobre mediadores de la enfermedad hepática y sugerir las vías implicadas.

 

“Además de investigar alteraciones en el estudio histológico, también analizamos el nivel de metabolitos, en un trabajo de bioinformática. La conclusión indica que parece existir un déficit de metabolización en los aminoácidos de cadena ramificada. Éstos aparecieron con altos niveles en el tejido del hígado de las ratas. Verificaremos ahora si ese biomarcador puede detectarse también en análisis de sangre”, dijo Rodrigo Marcondes, uno de los autores del artículo.

 

Se espera que la firma metabólica se reproduzca no sólo en el test histológico sino también en la sangre. Maciel explica que estudios preliminares del grupo, realizados en colaboración con el profesor Ismael Dale, de la Escuela Paulista de Medicina de la Unifesp, mostraron el aumento de los aminoácidos de cadena ramificada en la sangre de pacientes con resistencia a la insulina.

 

El descubrimiento de un posible biomarcador para la enfermedad hepática grasa no alcohólica se concreta en el marco también de otras líneas de investigación del grupo de la USP. Como paso siguiente, el objetivo es analizar la alteración de los aminoácidos de cadena ramificada (BCAA, por sus siglas en inglés) en humanos. Este estudio forma parte de un nuevo proyecto de investigación con pacientes del Hospital de Clínicas de la Facultad de Medicina.

 

“El objetivo inicial consistía en valernos de la metabolómica para identificar un marcador de alteración hepática en esos modelos animales. Con base en ese trabajo, nacieron nuevas líneas de investigación. La idea ahora es validar los mismos marcadores en mujeres con síndrome de ovario poliquístico”, dijo Maciel.

 

Según el investigador, si se confirma la hipótesis de que el biomarcador se comporta de la misma manera en humanos, será un gran paso en el diagnóstico y el tratamiento de la enfermedad. “Lo que buscamos es un método de diagnóstico no invasivo de la enfermedad hepática grasa no alcohólica para su uso en la práctica clínica”, dijo.

 

El equipo también está estudiando los efectos de los ejercicios físicos en aspectos metabólicos generales del SOP, y verificando si existe una merma de los niveles de BCAA.

 

“Normalmente se recomienda la práctica de ejercicios físicos como primera línea de tratamiento del síndrome de ovario poliquístico. Pero como los mecanismos de acción son poco conocidos, este estudio puede aportar una mejor comprensión de las estrategias terapéuticas y de la fisiopatología de la SOP”, dijo Marcondes.

 

Otra línea de investigación que también cuenta con el apoyo de la FAPESP apunta a estimar los riesgos de que pacientes con síndrome de ovario poliquístico desarrollen problemas metabólicos.

 

“La idea consiste en emplear marcadores biológicos para intentar predecir qué pacientes con SOP podrán desarrollar problemas metabólicos tales como el riesgo aumentado de diabetes y el aumento del riesgo de hígado graso, por ejemplo”, dijo Maciel. (Fuente: AGÊNCIA FAPESP/DICYT)

Copyright © 1996-2022 Amazings® / NCYT® | (Noticiasdelaciencia.com / Amazings.com). Todos los derechos reservados.

Depósito Legal B-47398-2009, ISSN 2013-6714 - Amazings y NCYT son marcas registradas. Noticiasdelaciencia.com y Amazings.com son las webs oficiales de Amazings.

Todos los textos y gráficos son propiedad de sus autores. La reproducción está permitida solo si se incluye el crédito de la fuente (NCYT Amazings) y un enlace dofollow hacia la noticia original.

Excepto cuando se indique lo contrario, la traducción, la adaptación y la elaboración de texto adicional de este artículo han sido realizadas por el equipo de Amazings® / NCYT®.

Con tu cuenta registrada

Escribe tu correo y te enviaremos un enlace para que escribas una nueva contraseña.