Medicina
Cambios genéticos predicen el riesgo de padecer leucemia mieloide aguda
Científicos del Instituto Wellcome Sanger y el Instituto Europeo de Bioinformática (EMBL-EBI) y del Centro de Investigación Biomédica en Red de Epidemiología y Salud Pública (CIBERESP) (España), entre otras instituciones, han descubierto que los pacientes con leucemia mieloide aguda (LMA) tenían cambios genéticos en la sangre años antes de que desarrollaran la enfermedad.
El estudio, publicado en la revista Nature, muestra que los análisis de sangre que estudian cambios en el código de ADN pueden revelar los orígenes de la LMA en personas sanas. Investigaciones adicionales podrían permitir la detección y el control más temprano de las personas con riesgo en el futuro, y abrir la posibilidad de reducir la probabilidad de padecer este tipo de enfermedad hematológica.
(adsbygoogle = window.adsbygoogle || []).push({});
Los investigadores del CIBERESP explican cómo a través de la colaboración con el Estudio Prospectivo Europeo sobre Nutrición y Cáncer (EPIC), uno de los estudios de cohortes multicéntricos más grandes del mundo con más de medio millón de participantes de 10 países europeos, se han podido descubrir los primeros pasos en el desarrollo de la LMA.
“El reclutamiento de EPIC comenzó a principios de los años noventa. Se recogieron muestras de sangre de un gran número de personas y se hizo un seguimiento de estos individuos a lo largo del tiempo estudiando la aparición de cáncer” explican los autores.
“Algunas de estas personas más tarde desarrollaron LMA y, utilizando sus muestras de sangre almacenadas, se pudo mirar qué cambios genéticos ya estaban presentes años antes de que apareciera la enfermedad” añaden.
Los científicos, incluidos investigadores de la Universidad de Toronto en Canadá y el Instituto Weizmann en Israel, secuenciaron el ADN sanguíneo almacenado de 124 pacientes con LMA y lo compararon con el de 676 personas que permanecieron libres de la enfermedad u otro cáncer.
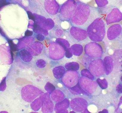
![[Img #52281]](upload/img/periodico/img_52281.jpg)
Muestra de médula ósea mostrando leucemia mieloide aguda B; las flechas señalan los bastones de Auer. (Foto: VashiDonsk)
Sorprendentemente, descubrieron que muchas de las personas que desarrollaron LMA tuvieron cambios genéticos particulares que los diferenciaron de los que no lo hicieron. Estos cambios podrían usarse colectivamente para desarrollar una prueba predictiva para identificar a las personas con alto riesgo de desarrollar la enfermedad muchos años antes de que lo hagan.
“La leucemia mieloide aguda a menudo aparece de forma muy repentina en los pacientes, por lo que nos sorprendió descubrir que sus orígenes son generalmente detectables más de cinco años antes de que se desarrolle la enfermedad. Esto proporciona una prueba de que es posible identificar a las personas con alto riesgo de desarrollar leucemia mieloide aguda”, explica Grace Collord, primera autora conjunta e investigadora del Wellcome Sanger Institute y la Universidad de Cambridge.
El estudio se centró en los genes que se sabe están asociados con la LMA, y se encontraron mutaciones frecuentes en algunos de estos genes en muchas personas, incluidas algunas que no desarrollaron LMA. Sin embargo, los investigadores descubrieron que las personas que estaban en el camino de desarrollar LMA tenían un mayor número de mutaciones y que las mutaciones a menudo estaban presentes en una fracción mayor de sus células sanguíneas.
Moritz Gerstung, uno de los autores principales del estudio del EBI, añadió: “Necesitábamos una gran cantidad de muestras para obtener resultados precisos, y este estudio solo fue posible mediante la colaboración con el estudio EPIC”.
Gerstung destaca que “la generosidad de los participantes al compartir sus datos y muestras de sangre nos permitió descubrir un patrón de cambios genéticos que se establece mucho antes de que aparezca la enfermedad, y que confiere un mayor riesgo cuantas más células se ven afectadas por el cambio genético. Este retraso genético también se puede encontrar en otras neoplasias hematológicas, y esto abriría nuevas vías para futuras investigaciones que podrían ayudar a muchas personas en el futuro”.
Tal y como apuntan los autores: "el estudio proporciona por primera vez evidencia de que se puede identificar a las personas en riesgo de desarrollar LMA muchos años antes de que realmente desarrollen esta enfermedad potencialmente mortal. Esperamos aprovechar estos hallazgos para desarrollar pruebas de detección robustas y así identificar a aquellas personas en riesgo e impulsar la investigación sobre cómo prevenir o detener la progresión hacia la LMA. Nuestra aspiración es que algún día la prevención proporcione una alternativa convincente al tratamiento".
La leucemia mieloide aguda es una neoplasia hematológica agresiva que afecta a personas de todas las edades. Las células cancerosas se multiplican rápidamente en la médula ósea y detienen la producción de células sanguíneas normales, lo que provoca infecciones y hemorragias fatales. Los tratamientos convencionales para la LMA han cambiado muy poco durante varias décadas y, aunque algunos enfermos se curan, la mayoría no lo logra.
Aproximadamente, cinco de cada 100.000 personas en la población general desarrollan LMA cada año. Esto significa que cualquier prueba predictiva debe ser altamente precisa para minimizar el riesgo de resultados falsos positivos. A pesar de los métodos potentes utilizados en el estudio, se necesitará más investigación para mejorar la precisión de las pruebas predictivas para que sean lo suficientemente robustas como para usarlas clínicamente.
El objetivo de los investigadores es identificar a las personas con riesgo de y controlarlas de cerca, mientras se desarrollan enfoques para prevenir el desarrollo de la leucemia. (Fuente: CIBERESP)



