Medicina
Un nanofármaco para la prevención de la metástasis en el cáncer colorrectal
Investigadores del Centro de Investigación Biomédica en Red de Bioingeniería, Biomateriales y Nanomedicina (CIBER-BBN) en el Instituto de Investigación Biomédica de Sant Pau (IIB Sant Pau), la Universitat Autònoma de Barcelona (UAB) y el CSIC (España) han demostrado la eficacia de un nanofármaco que elimina selectivamente las células madre metastásicas en modelos animales de cáncer de colon. Estos resultados han sido publicados en EMBO Molecular Medicine.
El equipo, liderado por Ramón Mangues, Antonio Villaverde y Esther Vázquez, ha demostrado que el fármaco actúa solamente sobre las células iniciadoras de metástasis a través de su interacción específica entre un péptido presente en la nanopartícula proteica que lo transporta y el receptor celular CXCR4 que se encuentra sobreexpresado en las células tumorales.
Esto permite atacar solamente a las células tumorales, bloqueando su diseminación en estadios tempranos, de manera que previene la aparición de metástasis a la vez que evita los efectos adversos derivados de los tratamientos habituales.
“Se ha observado que este receptor está sobreexpresado en 20 tipos diferentes de cáncer como mínimo, entre ellos los de próstata, mama, ovario y otros no tan comunes como el de páncreas”, apuntan los científicos. “Esta nanopartícula se puede dirigir para tratar diferentes tipos de neoplasias, convirtiéndola en un vehículo muy versátil que puede transportar diferentes moléculas terapéuticas de elevada potencia”, añaden.

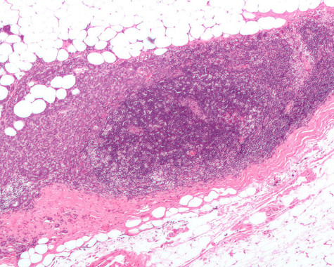
Ganglio linfático invadido por carcinoma de mama ductal. (Foto: Wikipedia)
Se trata del primer fármaco en el mundo que bloquea la diseminación metastásica, la principal causa de muerte en pacientes oncológicos. Actualmente, no existen fármacos en el mercado que eliminen selectivamente las células madre metastásicas.
Por lo tanto, este nuevo descubrimiento podría tener un alto impacto clínico después de que se hayan realizado los ensayos necesarios para aplicarse en humanos. El Hospital de Sant Pau de Barcelona sería el primer centro en el mundo en evaluar este fármaco en humanos, previamente a su posible introducción en la terapéutica clínica.
En junio de 2017 los mismos autores pusieron en marcha Nanoligent, una spin-off creada para desarrollar el primer fármaco diseñado para eliminar las células metastásicas. (Fuente: CIBER)










