Biología
Investigadores del CNA avanzan en la criopreservación de tejido ovárico
Los últimos avances en los tratamientos de cáncer han hecho que el número de pacientes que sobreviven a esta enfermedad sea cada vez mayor.
Sin embargo, tratamientos tales como la quimioterapia y la radioterapia, dada su agresividad, pueden llegar a producir efectos gonadotóxicos y dañar las gónadas femeninas, es decir los ovarios, siendo el resultado problemas de fertilidad.
Consecuentemente, se convierte en un punto fundamental la preservación de la fertilidad en este tipo de pacientes antes de los tratamientos, con el fin de asegurar su futura maternidad.
La criopreservación de tejido ovárico es, en la mayoría de los casos, el único modo de preservar la fertilidad para este tipo de pacientes, especialmente en el caso de las niñas prepúberes, que no tienen capacidad para producir gametos y proceder a los métodos más estándares en la preservación de la fertilidad (criopreservación de ovocitos y embriones).
Otros casos donde resulta altamente recomendado es cuando la estimulación ovárica, en el caso de mujeres adultas, este contraindicada para ese tipo concreto de cáncer (cánceres ginecológicos), o cuando la premura de la actuación contra la enfermedad no haga recomendable esperar a completar uno o varios ciclos menstruales para garantizar una extracción de óvulos para su preservación.
Actualmente hay más de 130 casos en todo el mundo de niños nacidos a partir de tejido ovárico criopreservado, principalmente realizado con protocolos de enfriamiento lento programado. Sin embargo, esta técnica se considera todavía experimental y hay estudios que indican que se producen daños en distintas células relevantes en el tejido ovárico después de ser criopreservado y trasplantado. Puesto que el tejido ovárico es un complejo y denso conjunto de células, estrechamente relacionadas todas entre sí, su crioconservación se ha convertido en un reto para los científicos.

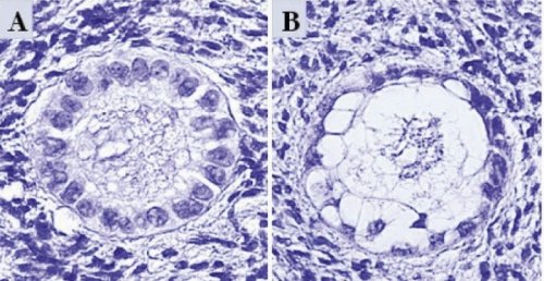
Imagen A: Folículos del tejido ovárico bovino tras vitrificación y recalentamiento (normal). Imagen B: Folículos del tejido ovárico bovino tras vitrificación y recalentamiento (dañado). (Fotos: CNA)
“Supone de gran interés asegurar la perfecta conservación del tejido y en este hecho reside el objetivo de este estudio. Para ello, se ha estudiado un nuevo procedimiento escalonado de criopreservación de tejido ovárico con muestras bovinas, basado en una vitrificación por pasos mediante un aumento progresivo de la concentración de crioprotector a medida que desciende la temperatura, evitando de este modo la formación de hielo y los posibles daños de toxicidad causados por la alta concentración de crioprotector”, concluye la Dra Corral.
La investigación ha sido publicada en la revista internacional Cryobiology y para el desarrollo del protocolo se ha hecho uso del equipo de tomografía axial computarizada (TAC) del Centro Nacional de Aceleradores (España).
La evaluación de la concentración final obtenida en los tejidos vitrificados mediante TAC ha mostrado que se consigue alcanzar un buen equilibrado de los tejidos con la solución crioprotectora en el caso de dos de los protocolos desarrollados.
Asimismo, los estudios morfológicos y de viabilidad de los tejidos, realizados mediante ensayos histológicos e inmunohistoquímicos, no mostraron ninguna diferencia entre los tejidos frescos (el grupo de control) y los tejidos criopreservados y recalentados especialmente para uno de los protocolos estudiados.
De esta manera, estos estudios preliminares prueban por primera vez que el tejido ovárico puede ser criopreservado mediante un método de vitrificación por etapas, pudiéndose alcanzar un mayor porcentaje de supervivencia de folículos.
Este trabajo ha surgido de una colaboración entre el Centro Nacional de Aceleradores, la Universidad de Sevilla, Université Catholique de Louvain, GE Healthcare y distintas clínicas nacionales e internacionales.
El Centro Nacional de Aceleradores es una ICTS de localización única que forma parte del Mapa de ICTS actualmente vigente, aprobado el 7 de octubre de 2014 por el Consejo de Política Científica, Tecnológica y de Innovación (CPCTI). (Fuente: CNA)









