Biología
Primera identificación inequívoca de células madre esqueléticas
Los tejidos esqueléticos como el hueso poseen un potencial regenerador excepcional. Los defectos óseos sanan pronto, y algunos vertebrados pueden regenerar porciones completas de sus extremidades. Pero las capacidades regenerativas de los tejidos esqueléticos en otros vertebrados son más limitadas. Por ejemplo, los huesos en ratones y humanos pueden recuperarse de defectos de tamaño pequeño a moderado, pero los tejidos de cartílago adulto apenas poseen capacidad regeneradora. Además, tanto ratones como humanos sufrimos al envejecer un proceso degenerativo grave de los tejidos esqueléticos.
Las disfunciones esqueléticas pueden llevar a un amplio espectro de trastornos de salud, que van de enfermedades relacionadas con el envejecimiento como la osteoporosis y la osteoartritis (artrosis) a lesiones esqueléticas que no pueden curarse, afecciones sanguíneas e incluso cáncer.
Por desgracia, las opciones de tratamiento dirigidas a mejorar la función esquelética son por ahora muy limitadas. Un obstáculo importante es que la regulación de las células madre en el sistema esquelético humano continúa estando básicamente sin explorar.

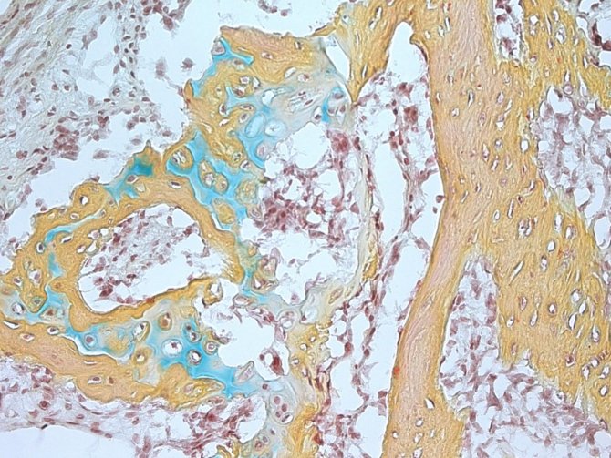
Un osículo derivado de célula madre esquelética humana. El amarillo indica hueso, el azul cartílago, y el rojo médula. (Foto: Chan and Longaker et al.)
Ahora, se han aislado a partir de huesos fetales y adultos células madre esqueléticas humanas que se convierten en células óseas, de cartílago o estromales. Es la primera vez que se han identificado en humanos células madre esqueléticas, que ya habían sido observadas en modelos de roedor.
El logro es obra del equipo de Michael Longaker, de la Universidad de Stanford en Estados Unidos.
Longaker y sus colegas también han conseguido obtener células madre esqueléticas a partir de células madre pluripotentes inducidas, lo cual abre nuevas posibilidades terapéuticas.



