Farmacología
Compuestos de acción rápida para el tratamiento contra gusanos parasitarios tropicales
Dos compuestos, de entre 300.000 candidatos seleccionados, eliminan las bacterias que dan soporte a los parásitos tras una dosis única en modelos de ratón de enfermedades filariales, uno de los principales contribuyentes a los efectos nocivos de la pobreza después de la desnutrición.
Los compuestos eliminaron las bacterias con mucha mayor rapidez que los antibióticos estándar, lo que indica que los ciclos cortos de tratamiento podrían potencialmente erradicar los gusanos filariales en los pacientes.
Las enfermedades parasitarias filariales, como la elefantiasis, suponen una enorme carga sanitaria descuidada en los países en desarrollo y pueden causar complicaciones debilitantes, como desfiguración y ceguera.
El tratamiento estándar contra los gusanos filariales es un ciclo del antibiótico doxiciclina de una duración de entre cuatro y seis semanas, que ataca a una especie bacteriana simbiótica llamada Wolbachia, y que da soporte a la reproducción de los gusanos. Sin embargo, la doxiciclina no se puede administrar a mujeres embarazadas y niños, y la larga duración del tratamiento supone una limitación a su aplicación en regiones con recursos limitados.
En busca de nuevas opciones terapéuticas, Malina Bakowski (de Calibr, en el Instituto Scripps de Investigación en Estados Unidos) y sus colegas analizaron más de 300.000 moléculas pequeñas para identificar las que presentaban actividad contra Wolbachia.
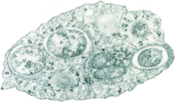
![[Img #55517]](https://noticiasdelaciencia.com/upload/images/05_2019/3991_compuestos-de-accion-rapida-para-el-tratamiento-contra.jpg)
Wolbachia dentro de célula de insecto. (Foto: Scott O'Neill. CC BY 2.5)
Después de seleccionar ocho prometedoras candidatas, los investigadores optimizaron su potencia y se centraron en los dos compuestos de mayor rendimiento, denominados CBR417 y CBR490.
Ambos compuestos mataron eficazmente a más del 99 % del total de bacterias Wolbachia con una dosis única en un modelo de ratón de enfermedad filarial, sin causar toxicidad y con una eficiencia superior a un ciclo de doxiciclina de dos semanas de duración.
Además, un ciclo de dos semanas de un tercer candidato llamado CBR715 mató a Wolbachia con una eficiencia superior a 42 días de tratamiento con doxiciclina en un modelo de ratón de filariasis linfática, lo que sugiere que estos compuestos podrían combatir una gama de infecciones filariales de complejo tratamiento. (Fuente: AAAS)



