Medicina
Cáncer de mama: inteligencia artificial para agilizar el diagnóstico
En Costa Rica, como en el mundo, el cáncer es la segunda causa de muerte; y entre los distintos tipos el de mama está entre los de mayor incidencia. Tan solo en el primer semestre de este 2019, 188 costarricenses murieron por un tumor maligno de mama, siendo esta, por sí misma, la sétima causa de muerte en el país, según datos del INEC.
Motivo más que suficiente para llamar la atención de profesionales y estudiantes de todas las áreas del conocimiento, incluso la computación.
Bajo estas circunstancias fue que un estudio de alumnos e investigadores del Tecnológico de Costa Rica (TEC) se centró en el diagnóstico asistido por computadora y consiguió demostrar la utilidad de aplicar técnicas computacionales de avanzada para agilizar la identificación de tumores malignos de mama.
La investigación, realizada en conjunto con especialistas de la Universidad Rovira I Virgili (URV), de España, se valió de una base de datos de cerca de 8.000 imágenes de tejido de tumores de pecho, para demostrar que una arquitectura de Deep Learning relativamente sencilla serviría para diferenciar con gran exactitud los tejidos cancerígenos.
Estos resultados fueron publicados por los estudiantes Iván Calvo y Erick Múñoz, y el máster Saúl Calderón, en un artículo conjunto con especialistas de la URV que se presentó en la Latin America High Performance Computing Conference (CARLA).
“Logramos como mejor resultado un 96 por ciento de exactitud en identificación, mientras que otros estudios llegaban a un 94 o 95 por ciento como mejor resultado. Eso nos deja bastante satisfechos de que las estrategias aplicadas fueron las adecuadas”, resaltó Calvo, quien desarrolló el estudio como parte de su pasantía en la URV y proyecto de graduación para el TEC.
![[Img #57056]](https://noticiasdelaciencia.com/upload/images/09_2019/8000_47219.jpg)
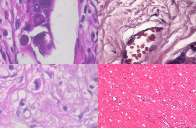
En la investigación se usó un banco de casi 8.000 imágenes de histologías de tumores, tomadas en pacientes de Estados Unidos. (Foto: I. Calvo)
Calvo agregó que el gran avance de esta investigación es comprobar que se pueden alcanzar excelentes resultados con arquitecturas más sencillas, comparables con el “estado del arte” de las arquitecturas más complejas y modernas del mundo.
El Deep Learning, o aprendizaje profundo, una técnica de inteligencia artificial en la que se le “enseña” a las computadoras a desarrollar una tarea específica utilizando bases de datos gigantescas. En este caso, se usan miles de imágenes para que el sistema aprenda a diferenciar los tumores malignos.
Mientras más parámetros, más compleja es la arquitectura necesaria para aplicar esta técnica y, por tanto, los costos. Lo que los investigadores del TEC comprobaron es que aplicando un filtro a las imágenes se puede mejorar la exactitud en arquitecturas sencillas, como la llamada SqueezeNet.
“Mientras menos parámetros, menos memoria consume la arquitectura y menos tiempo se requiere para entrenarla, y encontramos que una variante de la arquitectura que es muy liviana, si le aplicamos un filtro previo, tiene un resultado muy similar al que presenta una arquitectura que es el estado del arte", detalla por su parte Calderón.
Este avance significa que es posible obtener resultados muy precisos con equipo de cómputo no tan sofisticado ni costoso. Condiciones ideales para aplicarlo en un país de escasos recursos como Costa Rica.
Motivo por el que Calderón y otros expertos ya desarrollan un proyecto piloto para demostrar su aplicabilidad con especialistas de la Caja Costarricense de Seguro Social (CCSS).
Para eso, los especialistas y estudiantes del TEC trabajarán con el Dr. José Luis Quirós, especialista en anatomía patológica del hospital Max Peralta, en Cartago.
Gerardo Corela y Martín Vargas, dos alumnos del curso de ingeniería de software, ya se encuentran desarrollando el sistema que se colocará en la web.
Quirós ofrecerá las imágenes y su experiencia para validar los resultados del sistema. “El proyecto permitiría tener una herramienta de soporte, con consulta de identificación, para lograr que los datos sean más reproducibles. En ocasiones varias personas miran una misma imagen y tienen criterios distintos, pero con este proyecto tendríamos una base objetiva de evaluación”, comentó Quirós.
Con esta innovadora iniciativa se pretende demostrar la utilidad de esta tecnología, que serviría para asistir todo tipo de diagnóstico. Incluso, apuntan los especialistas, se podría implementar el sistema directamente en las máquinas que toman las imágenes, para agilizar aún más el proceso.
“Permite el trabajo interdisciplinario, permite que aparezcan otras iniciativas y se mejoren para ir abordando de mejor manera la aplicación de la inteligencia artificial en el diagnóstico de enfermedades”, agregó Quirós. (Fuente: TEC Costa Rica/DICYT)



