Neurología
Encuentran cambios en la estructura cerebral y la cognición en personas con insomnio
Las personas con insomnio presentan cambios en el rendimiento cognitivo y la estructura cerebral, especialmente en la sustancia blanca y algunas regiones que se afectan en etapas tempranas de la enfermedad de Alzheimer. Así lo describe un nuevo trabajo del Barcelonaβeta Brain Research Center (BBRC), el centro de investigación de la Fundación Pasqual Maragall (Catalunya, España), que se publica en la revista Alzheimer’s Research and Therapy y que ha sido posible gracias al impulso de “la Caixa”.
Por un lado, los investigadores analizaron el rendimiento cognitivo de las personas con insomnio y lo compararon con el de personas con un sueño normal. Los resultados muestran que el insomnio se relaciona con un peor resultado en pruebas cognitivas. Especialmente se ha descrito una reducción en algunas funciones ejecutivas, como por ejemplo la memoria de trabajo.
Por otro lado, el estudio demuestra, gracias a imágenes de resonancia magnética, que los participantes con insomnio presentan un menor volumen en algunas regiones cerebrales. Entre ellas se encuentran el precúneo o el córtex cingulado posterior, que se encuentran afectadas en etapas tempranas de la enfermedad. Los resultados apoyan las investigaciones que relacionan la presencia de insomnio con una elevada vulnerabilidad a la enfermedad de Alzheimer.
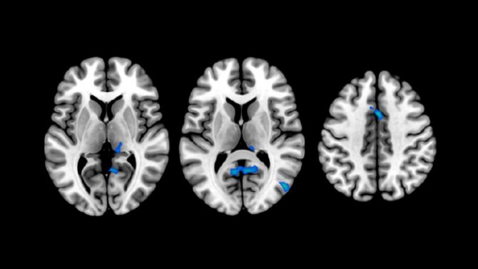
El presente estudio ha encontrado, además, cambios en la sustancia blanca cerebral mediante técnicas de resonancia magnética por difusión. “Estos hallazgos sugieren la presencia de procesos de inflamación cerebral que podrían tener un papel clave en la asociación entre la calidad del sueño y el Alzheimer”, destaca el Dr. Oriol Grau, primer autor del estudio. De esta forma, la publicación de estos resultados abre la puerta a una nueva línea de investigación que hasta ahora no ha sido explorada para entender la relación entre la neuroinflamación, el sueño y la demencia.
![[Img #58536]](https://noticiasdelaciencia.com/upload/images/01_2020/6272_insomnio-cerebro-cognicion-alzheimer.jpg)
(Foto: BarcelonaBeta)
Finalmente, los investigadores analizaron la relación entre el insomnio y la variante genética APOE-ε4. El gen APOE tiene tres posibles variantes o alelos (ε2, ε3 y ε4) y la variante ε4 confiere un riesgo más elevado de desarrollar Alzheimer. Los resultados del estudio demuestran que los efectos del insomnio sobre el cerebro están potenciados en personas portadoras de APOE-ε4 y que por lo tanto tienen más riesgo de desarrollar la enfermedad.
Esta investigación del BBRC ha analizado datos de calidad de sueño, resultados en pruebas cognitivas y de neuroimagen de 1.683 adultos sin alteraciones cognitivas que participan en el Estudio Alfa, impulsado por “la Caixa”. De estos, 615 tenían insomnio.
El estudio ha contado también con la participación de investigadores del Instituto de Investigaciones Biomédicas August Pi i Sunyer (IDIBAPS), y con la colaboración del CIBER de Bioingeniería, Biomateriales y Nanomedicina (CIBER-BBN), y el CIBER de Fragilidad y Envejecimiento Saludable (CIBER-FES).
Este estudio establece los fundamentos para el desarrollo de una nueva línea de investigación que permitirá estudiar de forma más exhaustiva la calidad del sueño en la cohorte Alfa a partir de medidas objetivas del sueño y de nuevos biomarcadores de la enfermedad de Alzheimer. El objetivo de estos nuevos estudios es comprender a través de qué mecanismos la calidad del sueño se relaciona con la vulnerabilidad para el deterioro cognitivo asociado a Alzheimer y cuál es el papel de la inflamación cerebral en este proceso.
Según el Dr. José Luis Molinuevo, Director Científico del Programa de Prevención del Alzheimer del BBRC, “el conocimiento generado por esta nueva línea puede contribuir de forma significativa a comprender mejor la fisiopatología de la enfermedad de Alzheimer, mejorar el diagnóstico precoz a través de métodos mínimamente invasivos y establecer las bases para futuras estrategias terapéuticas centradas en mejorar la calidad del sueño”.
El insomnio es un trastorno caracterizado por la dificultad en iniciar o mantener el sueño, la cual cosa provoca una afectación en la función del día a día. Diferentes estudios epidemiológicos estiman que entre un 4 y un 20% de la población general tiene insomnio.
Estudios previos en el campo de las demencias han encontrado una asociación entre la baja calidad del sueño y el riesgo de demencia. Actualmente, uno de los focos en la investigación del Alzheimer es el estudio de la calidad del sueño, ya sea como factor de riesgo o como una manifestación temprana de la enfermedad. (Fuente: BarcelonaBeta)



