Medicina
Dos fármacos, eficaces en ratones contra el cáncer por amianto más agresivo
La exposición al amianto o asbesto es el principal causante del mesotelioma maligno, un cáncer agresivo que se da sobre todo en los tejidos que recubren los pulmones –la pleura– y las vísceras abdominales –el peritoneo–. Aunque esto se sabe desde décadas, las alteraciones moleculares que originan el mesotelioma siguen siendo muy poco conocidas, y las opciones de tratamiento, escasas.
Ahora, el hallazgo por parte de expertos del Centro Nacional de Investigaciones Oncológicas (CNIO) (España) de procesos moleculares clave en este cáncer ha permitido dar con dos fármacos que, combinados, podrían ser eficaces contra el tipo más agresivo de mesotelioma. Se trata de compuestos que están ya en ensayo para otros tumores, lo que aceleraría el estudio de su actividad en mesotelioma.
Además, para seleccionar mejor los pacientes con mesotelioma que podrían beneficiarse de esta nueva terapia combinada, los autores proponen marcadores moleculares que podrían predecir la respuesta al tratamiento. El trabajo, liderado por Paco Real, jefe del Grupo de Carcinogénesis Epitelial del CNIO, y Miriam Marqués, investigadora del mismo grupo, se publica en la revista Cancer Research.
“El resultado es relevante porque el mesotelioma es un cáncer poco estudiado, con mal pronóstico y contra el que no hay terapias dirigidas”, dice Real. “Nosotros aportamos evidencias, en ratón y en líneas celulares humanas, de la posible eficacia de dos compuestos ya conocidos. Ahora nos gustaría iniciar ensayos en humanos cuanto antes”.
En España se atribuye al mesotelioma la muerte de 5 personas por millón de habitantes, pero se espera que esta cifra aumente los próximos años –al igual que en el resto de Europa–. El tumor, reconocido como enfermedad profesional, aparece varias décadas después de la exposición al amianto, un material usado en España sobre todo en los años setenta y hasta su prohibición en 2001.
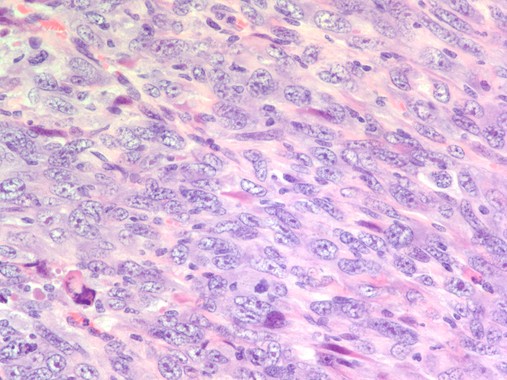
![[Img #58546]](https://noticiasdelaciencia.com/upload/images/01_2020/810_dos-farmacos-eficaces-en-ratones-contra-el-cancer-por-amianto-mas-agresivo_image_380.jpg)
Sección de mesotelioma invasivo en un modelo de ratón. (Foto: CNIO)
No obstante, en términos relativos el mesotelioma sigue siendo un cáncer poco frecuente y por tanto difícil de estudiar en profundidad. El más agresivo de los mesoteliomas, que representa alrededor de una cuarta parte de los casos, es el de tipo sarcomatoide. La supervivencia media de los pacientes con mesotelioma sarcomatoide que reciben los tratamientos disponibles actualmente es de entre 14 y 18 meses.
El resultado de esta investigación fue en gran medida inesperado. Los científicos trataban de generar ratones que desarrollaran cáncer de vejiga y para ello intervinieron sobre dos conocidos genes supresores de tumores, Pten y Trp53.
Para su sorpresa, los animales no desarrollaron cáncer de vejiga, sino mesotelioma sarcomatoide muy agresivo. Los autores creen que es posible que simplemente no hubiera tiempo para la aparición de tumores en la vejiga, dado el rápido desarrollo de mesoteliomas agresivos.
Buscando la causa molecular de esta agresividad, hallaron una sobreactivación de las rutas de las proteínas MEK/ERK y PI3K a través de mecanismos novedosos que implican a una proteína de la familia de las GPCR. El bloqueo de estas rutas con fármacos inhibidores de MEK y PI3Kbeta logró, en efecto, reducir la proliferación y la capacidad invasiva de las células del mesotelioma en los ratones.
El paso siguiente fue buscar fármacos contra esas proteínas que estuvieran siendo ensayados ya en pacientes. Los encontraron: se trata de los compuestos Selumetinib y AZD8186, que inhiben las quinasas MEK y PI3Kbeta, respectivamente.
Real resume el hallazgo: “Primero identificamos moléculas que están alteradas en el mesotelioma sarcomatoide en ratones; después comprobamos que las proteínas también están alteradas en mesoteliomas sarcomatoides humanos, y hallamos una combinación de fármacos efectiva en ratones y en líneas celulares humanas. Seleccionamos fármacos que ya están en ensayo clínico para otros tumores, porque su toxicidad ya se conoce y eso facilita el que puedan hacerse ensayos clínicos”.
Dado que los genes PTEN y TP53 participan en una amplia variedad de tumores humanos, y que las proteínas MEK y PIK3beta están sobreactivadas también en muchos otros tumores humanos, los hallazgos podrían tener relevancia más allá del mesotelioma maligno. Esta posibilidad está siendo analizada actualmente por Marqués y Real. (Fuente: CNIO)


