Medicina
Un mejor pronóstico para el cáncer de próstata
El cáncer de próstata es uno de los más frecuentes en los hombres. Si es agresivo, su peligrosidad es considerable pero si se trata a tiempo permite augurar una buena esperanza de vida. El diagnóstico del cáncer de próstata es pues un factor muy importante. Actualmente se detecta en análisis de sangre específicos, aunque se están desarrollando nuevos métodos, pero realizar un pronóstico de su agresividad ya es más difícil. Nuevas investigaciones que incluyen el uso de la inteligencia artificial sugieren que este diagnóstico podría ser más fácil en el futuro.
Investigadores de la universidad de Radboud, en efecto, han desarrollado un sistema de “aprendizaje profundo” que es mejor que la mayoría de los patólogos a la hora de determinar esa agresividad del cáncer de próstata. El sistema de inteligencia artificial, que utiliza muestras de tejido para alcanzar el diagnóstico, se adiestró a sí mismo para identificar el cáncer de próstata en base a los datos procedentes de 1.200 pacientes.
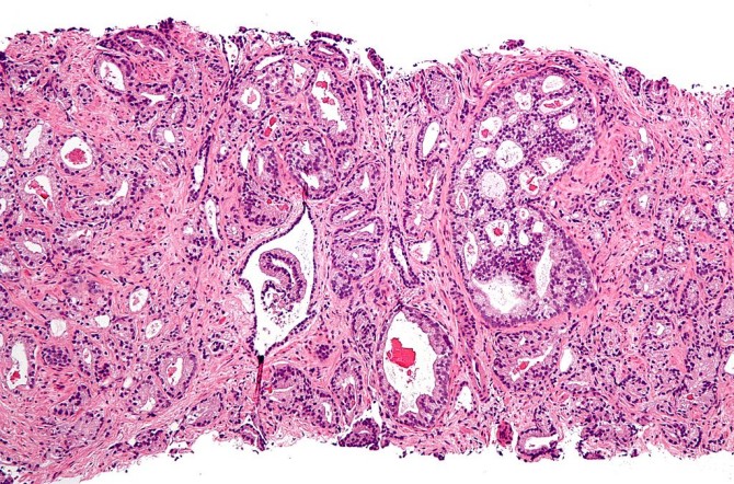
El cáncer de próstata es un tipo de cáncer que sucede frecuentemente, pero no siempre es agresivo: mueren más hombres con cáncer de próstata que del propio cáncer de próstata. Sin embargo, su tratamiento tiene muchas consecuencias para la calidad de vida de los pacientes, así que hacer un pronóstico de su agresividad es un paso importante a la hora de elegir un tratamiento. Para determinar esta agresividad se toman de la próstata trocitos de tejido (biopsia) que después son examinados por un patólogo. La “puntuación de Gleason” se emplea para clasificar las biopsias en cinco grupos, que indican el riesgo de morir de cáncer de próstata. Sin embargo, estamos ante un proceso subjetivo; si el paciente llegará a ser tratado y cómo, dependerá del patólogo que examina y valora el tejido.
![[Img #58587]](https://noticiasdelaciencia.com/upload/images/01_2020/5254_1024px-prostate_cancer_with_gleason_pattern_4_low_mag.jpg)
Tejido de cáncer de próstata con una puntuación de Gleason 4. (Foto: Wikimedia Commons)
Pronósticos de agresividad más precisos
Para eliminar esta subjetividad, los investigadores han desarrollado el sistema de inteligencia artificial que examina esas biopsias de la misma manera que el patólogo. El sistema determina la puntuación de Gleason y clasifica la muestra en base a ello. Gracias al aprendizaje profundo, el sistema examinó miles de imágenes de biopsias para aprender lo que es una próstata sana, y qué aspecto tiene un tejido de cáncer de próstata más o menos agresivo. Durante este aprendizaje se han utilizado 5.759 biopsias de más de 1.200 pacientes. Después, se comparó el rendimiento del algoritmo con los resultados de 15 patólogos de varios países y con diferentes niveles de experiencia. La conclusión fue que el sistema se desempeñó mejor que 10 de ellos y que era comparable a los patólogos con mayor experiencia. Una ventaja adicional es que el sistema informático es consistente y puede usarse en cualquier parte; el tratamiento de un paciente ya no depende de que un patólogo examine el tejido.
Dado que 1,2 millones de hombres son diagnosticados cada año en todo el mundo con cáncer de próstata, la disponibilidad de un sistema de inteligencia artificial para esta función será muy interesante para ahorrar costes y tiempo, y mejorar los diagnósticos para iniciar los tratamientos adecuados en cada caso. (Fuente: NCYT Amazings)



