Medicina
Hacia la detección de la COVID-19 en cuestión de minutos
Unos científicos de Quebec (Canadá) han recibido luz verde de los Institutos Canadienses de Investigación Sanitaria (CIHR) para probar un dispositivo que reducirá el tiempo necesario para detectar la enfermedad COVID-19, provocada por el coronavirus SARS-CoV-2 y que ha dado lugar a la actual pandemia.
En cuestión de minutos, el dispositivo podría indicar si la muestra contiene anticuerpos contra el coronavirus, detectando así la infección, una detección que actualmente requiere varias horas, tal como explica Jean-François Masson, profesor de química en la Universidad de Montreal (Canadá).
Masson, especialista en instrumentación biomédica, trabaja con Joelle Pelletier, profesora de química en la Universidad de Montreal, como parte de un equipo dirigido por Denis Boudreau, profesor de química en la Universidad Laval (Canadá). Qing Huang, colega chino que trabajó en la detección del virus del Ébola, también participa.
Estos científicos tienen buenas razones para creer que su prototipo tendrá éxito: anteriormente trabajaron en uno capaz de detectar reacciones alérgicas a un medicamento contra la leucemia, con resultados positivos. Pero advierten que sería erróneo suponer que el nuevo dispositivo para detectar la COVID-19 será desplegado durante la actual ofensiva contra la pandemia. "Creo que en el mejor de los casos, tendremos un dispositivo fiable dentro de un año, para la próxima ola de la epidemia, si es necesario", pronostica Masson.
![[Img #59585]](https://noticiasdelaciencia.com/upload/images/03_2020/4685_23336_lores.jpg)
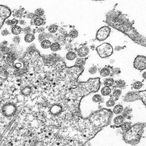
Imagen captada por microscopia electrónica de una muestra del primer paciente enfermo de COVID-19 en Estados Unidos, la cual ayudó a detectar la presencia del coronavirus SARS-CoV-2, el culpable de la pandemia actual de COVID-19. (Foto: C.S. Goldsmith y A. Tamin / CDC)
Masson y sus colegas creen que el prototipo, dado su enfoque radicalmente diferente del adoptado por los tipos de test actualmente en uso, también podría ser útil para nuevas amenazas virales. Además, la tecnología podría utilizarse para determinar la inmunidad de personas específicas a la COVID-19, como por ejemplo un trabajador de la salud que quiere saber si es inmune.
A diferencia de los dispositivos actuales para detectar la infección en un paciente, el nuevo dispositivo se guía por los anticuerpos reales del paciente, lo cual hace que la detección sea mucho más rápida.
El dispositivo ya ha sido probado en laboratorios de investigación de hospitales en Canadá. De particular interés para los profesionales es que puede utilizarse sobre el terreno; los resultados pueden registrarse en un microchip insertado en un cartucho desechable. Todo ello se conecta a un ordenador portátil. (Fuente: NCYT Amazings)



