Medicina
¿Células inmunitarias para combatir al Mal de Alzheimer?
¿Es factible estimular células inmunitarias del cerebro de tal manera que brinden una mejor protección contra la enfermedad de Alzheimer? La respuesta parece ser afirmativa, a juzgar por los resultados obtenidos en una investigación realizada por científicos del Centro Alemán de Enfermedades Neurodegenerativas (DZNE), la Universidad Ludwig-Maximilian (LMU) en la ciudad alemana de Múnich y la compañía Denali Therapeutics, con sede en California, Estados Unidos.
Esta línea de investigación y desarrollo podría desembocar en nuevas terapias para tratar la enfermedad de Alzheimer.
El equipo de Christian Haass identificó un anticuerpo específico que se une a células microgliales, presentes en el cerebro y que desempeñan funciones inmunitarias, entre otras labores. El anticuerpo puede estimular la actividad de esas células de tal manera que viven más tiempo, se dividen más rápidamente y detectan más fácilmente las sustancias anómalas. En ratones con síntomas parecidos a los de la enfermedad de Alzheimer, los análisis revelaron que esas células reconocían y degradaban los depósitos de proteínas (llamados "placas"). Las llamativas placas son uno de los sellos distintivos de la enfermedad de Alzheimer, y se sospecha que causan daños neuronales.
"Encontramos que las placas no fueron retiradas en su totalidad, sino que esto solo sucedió en su periferia. Se supone que es precisamente esta zona fronteriza la que libera repetidamente proteínas que causan daños a las neuronas. Así que podemos haber encontrado una manera de eliminar específicamente formas muy dañinas de amiloide, que es la proteína contenida en las placas", explica Haass.
![[Img #59602]](https://noticiasdelaciencia.com/upload/images/03_2020/6446_22339_lores.jpg)
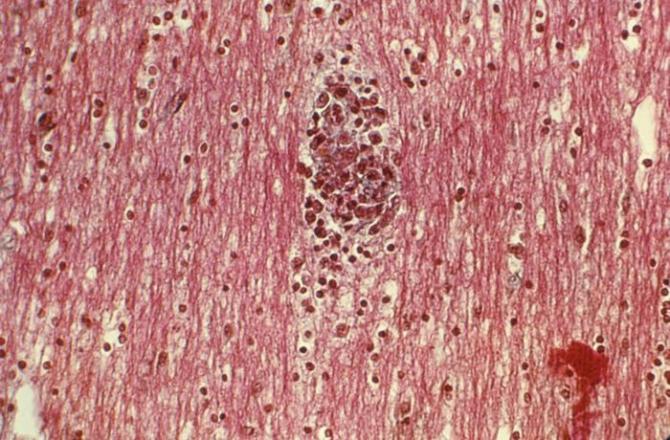
Esta fotografía microscópica de una muestra de tejido cerebral, reveló la presencia de un nódulo microglial, consistente en una congregación de células microgliales cerca de un vaso sanguíneo. (Foto: CDC / Dr. Flynt)
Haass y sus colegas investigan desde hace tiempo a las células cerebrales con funciones inmunitarias. Su línea de investigación se centra en el TREM2, un receptor en la superficie de la célula al que se pueden adherir otras moléculas. El TREM2 puede existir en diferentes versiones dependiendo de cada persona. Algunas de estas versiones alteradas aumentan drásticamente el riesgo de desarrollar Mal de Alzheimer en la vejez. En estudios anteriores, los investigadores de Múnich comprobaron que estas variantes especiales ponen a las células microgliales en un estado de letargo irreversible, lo que las impide actuar como es debido, detectando, absorbiendo y descomponiendo placas y células muertas. Haass y sus colaboradores sospechan que la activación de las células microgliales podría ayudar a eliminar las placas y así combatir la enfermedad de Alzheimer. El TREM2 parece desempeñar un papel importante en este proceso. El receptor aparentemente ayuda a cambiar el estado de las células microgliales desde el modo inactivo al activo.
Este es precisamente el enfoque que interesa a los científicos de Múnich y la empresa Denali Therapeutics. El anticuerpo identificado, que ahora se genera con métodos biotecnológicos, se une al TREM2, desencadenando así procesos que potencian la actividad de las células microgliales.
Sin embargo, los autores del estudio advierten que habrá que investigar más para que este enfoque se materialice en una técnica capaz de superar con éxito los ensayos clínicos. (Fuente: NCYT Amazings)



