Medicina
El posible eslabón entre la obesidad y el cáncer de mama
Está ampliamente aceptado en la comunidad médica que los niveles muy altos de grasa corporal aumentan el riesgo de desarrollar cáncer de mama, así como otros tipos de cáncer. En cuanto al mecanismo responsable de ello, no ha habido consenso. Quizá lo haya a partir de ahora. Basándose en la experiencia acumulada en su línea de investigación, el equipo de Bing Li, de la Universidad de Louisville en Kentucky, Estados Unidos, presenta una teoría según la cual cierta proteína secretada por las células grasas impulsa el desarrollo del cáncer de mama.
Durante los últimos cinco años, Li ha estado llevando a cabo una investigación, financiada por el Instituto Nacional estadounidense del Cáncer, que le llevó a vislumbrar la conexión entre la actividad de la proteína FABP4, expresada en el tejido graso, y un aumento en el desarrollo del cáncer de mama.
"Muchos tipos de cáncer están relacionados con la obesidad, no solo el de mama. Más de 13 tipos de cáncer están claramente asociados con la obesidad y creo que la lista seguirá creciendo conforme tengamos más datos", declara Li. La novedad es que él y sus colaboradores ahora tienen claro que cierta familia de proteínas (y sobre todo la proteína FABP4), desempeña un papel muy importante en la asociación de la obesidad con el cáncer, más específicamente el cáncer de mama. Estos investigadores creen que la FABP4 es responsable del mecanismo molecular subyacente que promueve el desarrollo del cáncer de mama asociado a la obesidad.
El tejido adiposo del cuerpo produce FABP4 dentro de las células grasas, donde procesa y distribuye ácidos grasos de cadena larga insolubles en agua. Una cierta cantidad de FABP4 entra en el torrente sanguíneo en condiciones normales. Sin embargo, a medida que se acumula un mayor volumen de tejido graso, se segrega más FABP4 en la circulación sanguínea y eso comienza entonces a resultar problemático. Cuando una persona se vuelve obesa, esta proteína se secreta mucho más en el sistema circulatorio. Normalmente estas moléculas están dentro de las células, pero cuando la persona es obesa, las moléculas abundan fuera de las células.
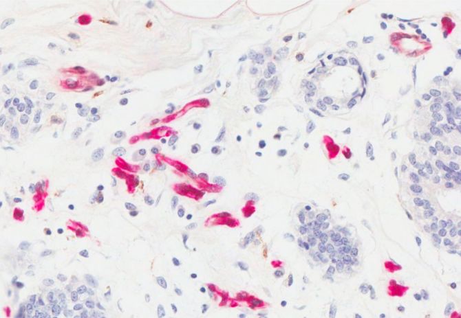
![[Img #59904]](https://noticiasdelaciencia.com/upload/images/04_2020/5407_229024_web.jpg)
Alta expresión de la proteína FABP4 en glándulas mamarias, mostrada en rojo. (Imagen: University of Louisville)
La teoría de Li expone dos modos en los que la proteína FABP4 puede estimular el crecimiento de los tumores de cáncer de mama.
En primer lugar, dentro de las células, la FABP4 aumenta en ciertos macrófagos que se acumulan en los tumores para promover el crecimiento del mismo. La investigación de Li también reveló que cuando se bloquea la FABP4, el crecimiento del tumor se reduce en los modelos animales aunque el tejido adiposo permanezca.
En segundo lugar, cuando los niveles elevados de FABP4 circulan fuera de las células grasas en una persona obesa, la proteína promueve el desarrollo del cáncer de mama a través de la interacción directa con las células de cáncer de mama. En experimentos con animales, el desarrollo y el crecimiento de tumores mamarios se redujeron en los animales obesos en los que se controlaba adecuadamente la FABP4.
Además, la FABP4 en el torrente sanguíneo parece funcionar en múltiples mecanismos para alimentar interacciones entre los componentes del tumor y las células grasas, promoviendo así el desarrollo del cáncer.
Otra conclusión reciente en la línea de investigación que siguen Li y sus colaboradores es que los distintos tipos de dietas con alto contenido de grasa tienen efectos bastante diferentes en el desarrollo de los tumores. Las dietas altas en grasas, ya sea de manteca de cacao o de aceite de pescado, dan como resultado una obesidad inducida por la grasa. Sin embargo, la dieta de manteca de cacao resulta en un mayor crecimiento del tumor mamario, mientras que la dieta de aceite de pescado no tiene ese efecto.
Li y sus colaboradores creen que una mejor comprensión de cómo actúa la proteína FABP4 tanto en los macrófagos como en la circulación sanguínea podría proporcionar oportunidades para hallar formas de impedir el progreso de ciertos cánceres de mama. También podría conducir al desarrollo de métodos de tratamiento que actúen sobre la FABP4 con fármacos o anticuerpos específicos. (Fuente: NCYT Amazings)



