Microbiología
El parásito de la malaria y su reloj interno
La actividad del parásito que causa la malaria es impulsada por el propio reloj del parásito, según sugiere una nueva investigación dirigida por científicos de la UT Southwestern. Lo descubierto, publicado en la revista Science, podría conducir a nuevas formas de luchar contra esta enfermedad omnipresente y mortal.
Más de 200 millones de personas contraen malaria en todo el mundo cada año, y más de 400.000 personas mueren anualmente de esta enfermedad, según las estadísticas de la Organización Mundial de la Salud. Causada por protozoos del género Plasmodium, el paludismo mata principalmente a niños, y la mayoría de las muertes se producen en el África subsahariana.
Se sabe desde hace tiempo que el paludismo induce fiebres cíclicas, que se producen cada dos o tres días en los huéspedes humanos, dependiendo de la especie del organismo infectado. Esto es el resultado de que todos los parásitos revienten simultáneamente los glóbulos rojos del huésped que infectan.
"Juntos, estos y otros fenómenos de comportamiento sugieren que el Plasmodium tiene sentido del tiempo", dice el líder del estudio Joseph S. Takahashi, presidente de neurociencia en la UTSW e investigador del Instituto Médico Howard Hughes. "Pero la razón de estos ritmos diarios ha sido misteriosa".
Aunque la teoría actual ha sido que el Plasmodium toma sus señales de sus huéspedes animales, Takahashi - que estudia los relojes biológicos - y sus colegas sospecharon que el parásito tiene su propio reloj interno que impulsa este comportamiento.
Para investigar esta hipótesis, la doctora Filipa Rijo-Ferreira, becaria de investigación postdoctoral y asociada del Instituto Médico Howard Hughes, que fue pionera del proyecto en el laboratorio, trabajó con un modelo de ratón de malaria infectado por el Plasmodium chabaudi. Al igual que los pacientes humanos, estos animales también tienen fiebres cíclicas, aproximadamente una vez al día.
![[Img #60534]](https://noticiasdelaciencia.com/upload/images/05_2020/9028_232000_web.jpg)
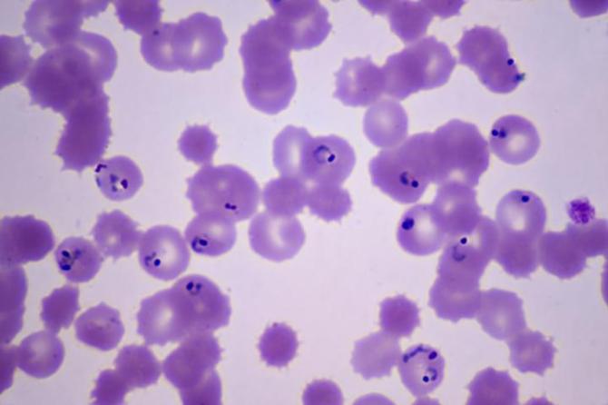
Plasmodium falciparum en fase de anillo en glóbulos rojos humanos. (Foto: Ed Reschke)
Para ver si los ritmos del parásito se ven afectados por los ciclos de luz y oscuridad, que impulsan muchos ritmos circadianos en los seres humanos y otros animales, los investigadores alojaron algunos ratones infectados en condiciones que imitaban un ciclo regular de día y noche, con 12 horas de luz y 12 horas de oscuridad. Otros ratones fueron alojados en completa oscuridad. Durante tres días, los investigadores recogieron sangre de los animales y probaron la expresión genética de sus parásitos de la malaria.
Los investigadores vieron que de los 5.244 genes expresados por la etapa sanguínea del Plasmodium, más del 80 por ciento tenía los mismos patrones cíclicos de expresión en ambas condiciones de luz. La actividad de estos genes alcanzó su punto máximo al mismo tiempo y con la misma intensidad en ambos grupos, lo que sugiere que las señales de iluminación que impulsan los relojes biológicos en sus ratones anfitriones no afectaban a los ritmos de los parásitos.
Para ver si el reloj del Plasmodium seguía funcionando unas 24 horas, aunque los relojes de sus anfitriones no lo hicieran, los investigadores estudiaron la actividad genética del parásito en ratones con una mutación genética que hace que sus propios ritmos circadianos funcionen unas 26 horas en lugar de las 24 habituales. Las pruebas mostraron que los protozoos parecían ralentizar sus ciclos celulares para que coincidieran con los de sus anfitriones, estirándolos para cubrir el período de 26 horas. Sin embargo, esta correlación no era perfecta, la expresión génica del Plasmodium se quedó atrás, tardando varios días en alcanzar a su anfitrión de largo período. Estos hallazgos sugieren que aunque el parásito parece tomar las señales de su anfitrión, todavía va a su ritmo.
"Este fue un resultado muy emocionante ya que fue nuestro primer indicio de que los parásitos no solo están siguiendo al anfitrión sino que podrían ser capaces de decir la hora", dice Rijo-Ferreira. "Estábamos en el camino correcto".
Pruebas adicionales sugieren que los tiempos de alimentación rítmica - otra pista externa que impulsa los ritmos biológicos en los animales - tampoco eran necesarios para la actividad genética cíclica en el Plasmodium. De manera similar, estos ciclos persistían incluso en ratones anfitriones con mutaciones que anulaban completamente sus ritmos biológicos. Sin embargo, en este último caso, los ritmos del parásito se desregularon gradualmente con el tiempo. Estos hallazgos sugieren que, aunque los parásitos individuales parecen estar impulsados por sus propios relojes biológicos, parecen necesitar una señal externa de sus anfitriones para sincronizarse. Los modelos matemáticos que los investigadores construyeron apoyan esta idea.
Takahashi señala que se necesitarán más investigaciones para confirmar el comportamiento del parásito como un reloj. Un estudio complementario publicado en Science, dirigido por un grupo de la Universidad de Duke, proporciona evidencia de apoyo en humanos. Identificar el mecanismo detrás de este fenómeno, dice, podría conducir a nuevos objetivos para atacar la malaria, ya sea interrumpiendo sus ritmos o encontrando maneras de capitalizarlos descubriendo puntos en el ciclo cuando el Plasmodium puede ser particularmente vulnerable.
"Esto podría añadir una dimensión completamente nueva al tratamiento terapéutico de esta enfermedad a menudo mortal", dice Takahashi. (Fuente: NCYT Amazings)



