Medicina
Dieta rica en azúcar y riesgo de daños intestinales
La colitis, uno de los tipos de enfermedad intestinal inflamatoria, es un problema de salud pública cada vez más común en muchos países occidentales. Esta dolencia puede causar diarrea persistente, dolor abdominal y sangrado rectal. La cantidad de estadounidenses adultos aquejados de enfermedad intestinal inflamatoria (uno de cuyos tipos es la enfermedad de Crohn) saltó de 2 millones en 1999 a 3 millones en 2015. Además, la colitis está empezando a aparecer en los niños, que históricamente no la padecían. Debido a que la incidencia de la enfermedad es mucho mayor en los países occidentales, los expertos han considerado la dieta de estilo occidental (con alto contenido de grasas, azúcar y proteínas animales) como un posible factor de riesgo. Si bien se ha descubierto que las dietas con alto contenido de grasas desencadenan la enfermedad inflamatoria intestinal, el papel del azúcar ha sido más controvertido.
El equipo integrado, entre otros, por Hasan Zaki y Shahanshah Khan, ambos del Centro Médico del Sudoeste, dependiente de la Universidad de Texas en Estados Unidos, ha completado ahora un estudio cuyos resultados apuntan al azúcar como principal sospechoso del aumento de casos de colitis en los últimos años.
Los investigadores alimentaron a unos ratones con una solución de agua con una concentración del 10 por ciento de uno de varios azúcares alimentarios (glucosa, fructosa y sacarosa) durante siete días. Descubrieron que los ratones que estaban genéticamente predispuestos a desarrollar colitis, o a los que se les administró un producto químico que induce a la colitis, desarrollaron síntomas más graves si se les administraba primero el azúcar.
Los investigadores utilizaron entonces técnicas de secuenciación genética para identificar los tipos y abundancias de las bacterias residentes en el intestino grueso de los ratones antes y después de recibir su dieta de azúcar. Se comprobó que después de esos siete días consumiendo elevadas cantidades de azúcar, los ratones mostraban cambios significativos en su población microbiana intestinal. Eso les ocurrió con el consumo de sacarosa, fructosa y sobre todo glucosa.
![[Img #62284]](https://noticiasdelaciencia.com/upload/images/11_2020/3190_dieta-rica-en-azucar-y-riesgo-de-danos-intestinales.jpg)
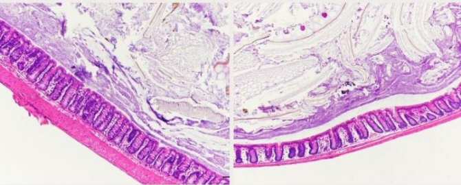
Las fotos ampliadas muestran secciones del colon de ratones que siguieron una dieta normal (izquierda) y de ratones alimentados con una dieta alta en glucosa durante siete días (derecha). La capa protectora que separa el revestimiento epitelial del colon (abajo) del contenido fecal (arriba) era más delgada en los ratones a los que se les suministró glucosa. (Fotos: UT Southwestern Medical Center)
Las bacterias productoras de enzimas que perjudican un revestimiento intestinal fueron encontradas en mayor cantidad en los ratones que siguieron la dieta rica en azúcar, mientras que otros tipos de microbios considerados buenos y que se encuentran comúnmente en el intestino, como el Lactobacillus, se volvieron menos abundantes.
Los investigadores constataron un peligroso adelgazamiento de una capa que protege el revestimiento del intestino grueso, así como signos de infección por otras bacterias.
Aunque la glucosa tuvo el mayor efecto, los tres azúcares alteraron profundamente la composición de la microbiota intestinal.
Zaki ahora planea estudiar si el consumo de azúcar influye en el desarrollo de la obesidad, la enfermedad del hígado graso y las enfermedades neurodegenerativas como la de Alzheimer, y en caso de que sí, mediante qué procesos ocurre eso. (Fuente: NCYT de Amazings)




