Medicina
Estrechando el cerco a la leucemia infantil
El cáncer es, después de los accidentes, la causa más frecuente de muerte infantil en los países desarrollados. La leucemia linfoblástica aguda de células B (LLA-B) es la forma más común de cáncer infantil. Un aspecto poco conocido es que, en realidad, un muy alto porcentaje (5%) de niños sanos presenta desde el nacimiento una predisposición a desarrollar LLA-B, pues sufren alteraciones genéticas que afectan a los genes implicados en el desarrollo de las células B. De esta manera, potencialmente, muchos niños podrían ser propensos a sufrir la enfermedad, pues portan células preleucémicas. Afortunadamente, muy pocos (<1%) de estos niños predispuestos desarrollarán la leucemia, al sufrir una segunda alteración que, sumada a la primera, conduce a la enfermedad.
Las causas que desencadenan esta progresión aún no están claras, pero la incidencia de la LLA-B parece estar aumentando en el mundo en paralelo con la adopción del estilo de vida moderno. Los datos más recientes indican que un estrés del sistema inmune podría estar implicado en la aparición de la leucemia en los niños con predisposición genética.
Este estrés podría ser desencadenado por la exposición a infecciones comunes en ciertas circunstancias, o por otros factores como el tratamiento con antibióticos, la dieta, o alteraciones de la microbiota intestinal (siempre en el contexto de niños genéticamente predispuestos).
Estas cuestiones son el objeto de un estudio titulado “Infectious triggers and novel therapeutic opportunities in childhood B cell leukaemia”, que se ha publicado en Nature Reviews Immunology, la revista de revisiones de inmunología más prestigiosa del mundo, por el grupo de expertos españoles formado por los doctores Carolina Vicente-Dueñas (IBSAL, Salamanca), César Cobaleda (Centro de Biología Molecular Severo Ochoa, CBMSO, Madrid) e Isidro Sánchez-García (CIC-IBMCC, Universidad de Salamanca- CSIC, Salamanca).
El problema es que aún no conocemos los detalles de este proceso y, por tanto, no somos capaces de anticiparnos a este segundo desencadenante de las leucemias, de forma que, cuando estas se detectan, la enfermedad ya está en su fase aguda. Sin embargo, Sánchez-García y sus colegas, por sus estudios en modelos de ratón de LLA-B, saben desde hace algunos años que esta enfermedad podría ser de hecho prevenible, y que comprender la interacción entre las células preleucémicas y el estrés inmunológico nos podría proporcionar las estrategias para prevenir el desarrollo de las LLA-B infantiles, pues los estudios de sus laboratorios han identificado factores que desencadenan la leucemia. Se trata –señala Sánchez García– de “un cambio de paradigma en la forma de entender la leucemia, que servirá de piedra angular para centrarnos en el desarrollo de estrategias de prevención, en lugar de en vías para tratar las leucemias una vez que se han producido”.
El reto está –y sobre esto gira la revisión– en ser capaces de identificar los mecanismos que desencadenan esta progresión antes de que se produzca la leucemia. “Tres de los eventos que podrían servirnos para detectar estos procesos son las alteraciones en la propia célula preleucémica, las alteraciones de las células inmunes a cargo de controlar la progresión tumoral, y las posibles remodelaciones del nicho celular en que las células se encuentran”, explica Cobaleda. Tres signos que facilitan la aparición de la leucemia pero que también podrían servir como marcadores. “Comprender mejor toda la biología que determina la progresión en los nichos preleucémicos nos permitirá identificar terapias para bloquear la progresión hacia la leucemia”, razona Vicente-Dueñas. Ahí está, precisamente, el quid de la cuestión, ya que, aunque los tratamientos han avanzado muchísimo en las últimas décadas, los pacientes leucémicos que fallecen sucumben mayoritariamente por los efectos del propio tratamiento o por la ineficacia del mismo. “Si conseguimos detectar que una célula preleucémica va a transformarse y dónde, y somos capaces de frenarlo en esa ventana de tiempo, será posible prevenir la leucemia”, añade.
![[Img #63262]](https://noticiasdelaciencia.com/upload/images/02_2021/1928_estrechando-el-cerco-a-la-leucemia-infantil.jpg)
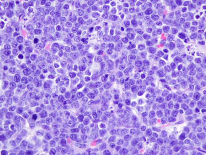
Ganglio linfático infiltrado por células tumorales en una leucemia linfoblástica aguda. (Foto: CIC)
A pesar de los notables avances realizados en el campo, la comprensión de la interacción entre la célula preleucémica y el estrés inmunológico plantea un desafío único, que justifica una investigación multidisciplinaria. Los autores defienden que la colaboración internacional será imprescindible para prevenir la leucemia desencadenada por procesos infecciosos. Esta colaboración deberá incluir, entre otros puntos, la generación de biobancos de muestras frescas de sangre de cordón umbilical, la estandarización de protocolos experimentales y analíticos, así como de los marcadores utilizados para seguir la progresión de la enfermedad.
Por otro lado, una visión holística de cómo los factores ambientales afectan al desarrollo de la leucemia no se puede abordar directamente en los pacientes, sino que requerirá el empleo de animales experimentales portadores de una susceptibilidad genética similar a la de los niños predispuestos a desarrollar la leucemia. En definitiva, “esclarecer los mecanismos que regulan la interacción entre las células preleucémicas y el estrés inmunológico debería facilitar el desarrollo de las estrategias que nos permitan prevenir el desarrollo de la leucemia linfoblástica aguda de células B infantil”, resume Cobaleda. “Todo esto podría ayudar en la prevención y en la terapia, pero –matiza Sánchez García– aunque el concepto es muy interesante y atractivo, aún queda mucho trabajo por hacer para llevarlo desde el laboratorio hasta el paciente”. En este proceso es clave la colaboración de todos los agentes implicados y afectados por el problema, desde los investigadores básicos y traslacionales, hasta los clínicos, así como los propios pacientes a través de sus asociaciones y fundaciones. (Fuente: CIC)



