Medicina
Nueva estrategia para atacar al cáncer de pulmón
A pesar de los últimos avances en las estrategias de tratamiento con la incorporación de fármacos dirigidos e inmunoterapia, el cáncer de pulmón sigue sin tener un buen pronóstico, particularmente en las etapas metastásicas avanzadas. Por ello, la identificación de nuevas dianas terapéuticas resulta clave para mejorar los tratamientos frente a esta patología.
Un equipo de investigación ha identificado una nueva vía a través de la cual combatir al adenocarcinoma de pulmón, la forma de cáncer pulmonar más frecuente.
Este equipo es el dirigido por Azucena Esparís Ogando, del Centro de Investigación del Cáncer (CIC-IBMCC), centro mixto del Consejo Superior de Investigaciones Científicas (CSIC y la Universidad de Salamanca, incluido en el CIBER de cáncer (CIBERONC), y el Instituto de Investigación Biomédica de Salamanca (IBSAL), en España todas estas instituciones.
“Comprender la respuesta celular ante determinados estímulos es fundamental para diseñar nuevas estrategias terapéuticas en multitud de enfermedades. Esta respuesta celular se denomina vía de señalización”, explica Esparís. Su equipo, que lleva varios años trabajando en la vía de señalización de la proteína ERK5, ha descrito cómo la activación de esta vía puede provocar adenocarcinoma pulmonar. “Se trata de una ruta que podría ser importante en la fisiopatología este tumor. Nuestro equipo obtuvo los resultados trabajando con ratones transgénicos, a los que les implantamos una forma activa de proteína quinasa una enzima denominada MEK5, que a su vez activa a ERK5. A partir de estos resultados decidimos analizar el impacto de esta ruta en el cáncer de pulmón humano”, añade.
![[Img #64906]](https://noticiasdelaciencia.com/upload/images/10_2021/3974_nueva-estrategia-para-atacar-al-cancer-de-pulmon.jpg)
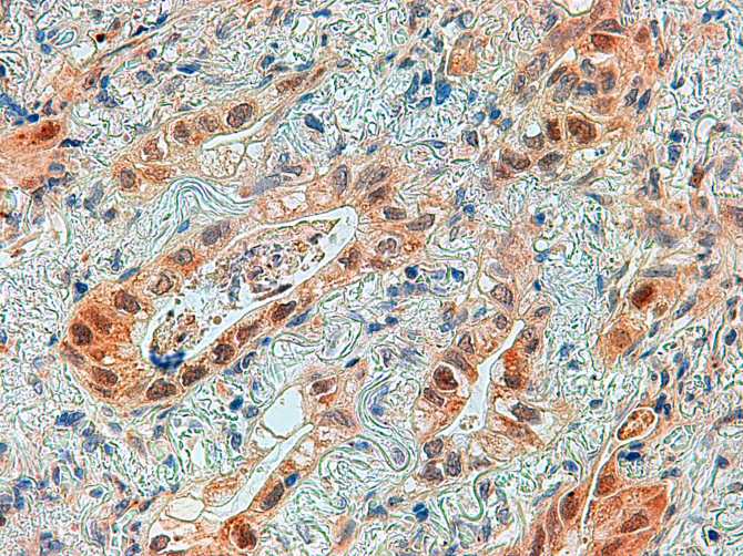
Imagen al microscopio de un adenocarcinoma de pulmón con la proteína ERK5 marcada en marrón en las células tumorales. (Imagen: Hospital Clínico Universitario de Salamanca)
Tras identificar la importancia de esta vía en la respuesta de los pacientes con adenocarcinoma, los investigadores desarrollaron estudios genéticos y farmacológicos encaminados a determinar si el ataque de esta ruta podría tener efectos terapéuticos.
“La inhibición de ERK5 o de MEK5 con herramientas de edición genética y mediante fármacos específicos dirigidos a bloquearlas impide el crecimiento del tumor y también favorece la acción antitumoral de tratamientos que se utilizan actualmente en la clínica para abordar este tipo de cáncer, como la quimioterapia con cisplatino”, subraya Esparís.
El estudio de esta ruta molecular abre puertas no solo a una mejor clasificación de los pacientes con cáncer de pulmón, sino a nuevas alternativas de tratamientos antitumorales más efectivos en un futuro.
En el hallazgo también ha participado Adrián Sánchez, predoctoral integrante del equipo de investigación, que ha recibido la ayuda de la Asociación Española Contra el Cáncer (AECC) en Salamanca.
El estudio se titula “Clinical, genetic and pharmacological data support targeting the MEK5/ERK5 module in lung cancer”. Y se ha publicado en la revista académica NPJ Precision Oncology. (Fuente: CIC / CSIC)



