Medicina
Identifican 50 mutaciones en un gen vinculado al desarrollo de linfomas
Unos científicos han confeccionado un catálogo completo de las mutaciones de un gen presentes en el linfoma periférico de células T, un tipo de tumor de los glóbulos blancos de la sangre. El estudio identifica los diferentes tipos de mutaciones que provocan la activación descontrolada de este gen, denominado VAV1. Su identificación puede contribuir al desarrollo de fármacos específicos personalizados para frenar la progresión de esta patología, que se caracteriza por su agresividad, la falta de tratamientos efectivos y la alta mortalidad.
El trabajo es obra de un equipo liderado por investigadores del Centro de Investigación del Cáncer (CIC), centro mixto del Consejo Superior de Investigaciones Científicas (CSIC) y la Universidad de Salamanca (USAL), en España.
Los linfomas periféricos de células T se desarrollan a partir de los linfocitos T, unas células del sistema inmune cuya función es reconocer y destruir aquellas células que se han convertido en peligrosas, bien por haberse transformado en células cancerosas o por haber sido infectadas por virus como, por ejemplo, el SARS-CoV-2. Estas funciones positivas, sin embargo, se vuelven dañinas cuando los linfocitos T sufren alteraciones genéticas que los hacen proliferar de forma descontrolada y promover la formación de linfomas.
En este trabajo los investigadores demuestran que el 51% de mutaciones que afectan al gen VAV1 promueven su activación descontrolada y que, además, dichas alteraciones no son todas iguales. “Existen cinco tipos diferentes y, según la mutación que se presente, se desarrollan distintas características clínicas tanto desde el punto de vista de su malignidad como de las opciones terapéuticas”, explica Javier Robles Valero, autor del estudio junto con Xosé R. Bustelo, ambos investigadores del CIC.
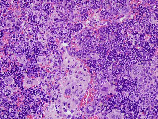
![[Img #65026]](https://noticiasdelaciencia.com/upload/images/10_2021/67_identifican-50-mutaciones-en-un-gen-vinculado.jpg)
Imagen de microscopia de un linfoma desarrollado por ratones con alteraciones en el gen VAV1. (Foto: Xosé R. Bustelo)
El subtipo funcional más frecuente de las mutaciones de VAV1 en los tumores humanos actúa como un driver (conductor) plenamente autónomo, es decir, capaz de inducir el cáncer cuando se expresa en las células T sanas sin necesidad de alteraciones genéticas en otros genes. “Esta observación subraya más el hecho de que la presencia de estas mutaciones no es trivial, sino que son las principales responsables del origen del tumor. Hasta ahora se desconocía la relevancia de las mutaciones del gen VAV1 en el plano funcional y clínico. Gracias a este trabajo sabemos cuáles son importantes, qué hacen y cómo influyen en la adquisición de las propiedades malignas de las células tumorales”, destaca Xosé R. Bustelo.
El estudio también ha desarrollado un modelo animal que permite generar linfomas en ratones tras la expresión de mutantes de VAV1 en linfocitos T sanos. “Usando técnicas genómicas y bioinformáticas hemos podido comprobar que estos linfomas reproducen la gran mayoría de las características clínicas, patológicas y moleculares de los linfomas periféricos de células T en los pacientes”, añade el investigador del CSIC.
El nuevo modelo animal ha permitido desarrollar por primera vez linfomas de células T muy similares a los de los pacientes, algo que permitirá identificar con más facilidad los puntos débiles de los linfomas, diseñar fármacos específicos y probar su efectividad antes de iniciar los estudios clínicos en humanos. “Esto es especialmente relevante en este tipo de tumores, dada la dificultad que ha existido hasta ahora para clasificarlos, estudiarlos y tratarlos de forma eficaz”, concluye.
En el trabajo han colaborado también investigadores de la Universidad de Salamanca, el CSIC y el CIBERONC.
El estudio se titula “Cancer-associated mutations in VAV1 trigger variegated signaling outputs and T-cell lymphomagenesis”. Y se ha publicado en la revista académica EMBO Journal. (Fuente: CIC / CSIC)



