Biología
Hallan un microorganismo en la frontera entre lo unicelular y lo multicelular
Se ha descubierto un ser que pertenece a un linaje cercano al punto evolutivo en el que organismos unicelulares se diferenciaron para formar animales y hongos.
Unos investigadores de la Universidad del País Vasco (UPV/EHU) y del CEFAS (Centre for Environment, Fisheries, and Aquaculture Science), en el Reino Unido, han hallado en aguas marinas un parásito perteneciente a un primitivo linaje, al que han bautizado como Txikispora philomaios. Este organismo contribuirá a explicar cómo se desarrolló la multicelularidad en animales. Los estudios filogenéticos y filogenómicos realizados a partir del ADN de este parásito están ayudando a comprender los cambios y adaptaciones evolutivas que permitieron la difícil transición desde organismos unicelulares microscópicos a animales y hongos multicelulares.
El investigador Ander Urrutia del grupo de investigación Biología Celular en Toxicología Ambiental de la UPV/EHU y de Patología Animal en el CEFAS, estudia “la gran diversidad oculta de organismos parasíticos unicelulares en la zona intermareal en ecosistemas costeros de climas templados, con el objetivo de intentar ver dónde se encuentran, cómo es su ecología, cómo se comportan, etcétera”. Para cumplir ese objetivo se utiliza, entre otros, el ADN ambiental (eDNA o Environmental DNA): se trata de una técnica que consiste en “extraer el ADN contenido bien en una matriz orgánica o ambiental, como, por ejemplo, en un organismo o en muestras de agua marina previamente filtradas”. Particularmente, Urrutia se ha centrado en los organismos que parasitan a los invertebrados: “Existen muchísimos parásitos sin identificar; encontramos nuevas secuencias de ADN e inferimos su comportamiento en base a su similitud genética con otros parásitos, pero realmente no sabemos lo que son”.
En la tarea de clasificar los parásitos unicelulares encontrados en las muestras, el investigador del Departamento de Zoología y Biología Celular Animal ha encontrado un parásito “a priori poco común, que en base a sus características no casaba en ningún grupo existente hasta el momento. Tuvimos que hacer unos análisis moleculares, que nos confirmaron que era un organismo distinto. Una vez realizados varios árboles filogenéticos, es decir, una vez comparado el ADN de este organismo con sus posibles parientes evolutivos más cercanos, pudimos ver que se trata de un organismo perteneciente a un linaje primitivo, que se sitúa cerca del punto en el que se diferenciaron los animales y los hongos. Está cerca del momento evolutivo en el que un organismo unicelular se diferenció para dar a todos los animales que existen, poco después de que otro organismo celular parecido se diferenciará para terminar evolucionando en todos los hongos que existen”, explica Urrutia.
“Txikispora philomaios es un protista (organismo eucariota unicelular) que evolucionó poco después de la división acometida por el ancestro común de animales y hongos antes de desarrollar su multicelularidad. Todos los animales y los hongos del mundo vienen de un mismo organismo celular que presumiblemente estaba en el océano hace cientos de millones de años. En algún momento, este comenzó a agregarse y duplicarse, mientras sus células se especializaban formando tejidos, y finalmente un cuerpo, desde una microscópica medusa hasta una enorme ballena azul”, explica el investigador. Puesto que a menudo la reordenación genética sufrida por los parásitos difiere de la de sus parientes de vida libre, el estudio de este parásito y su genoma contribuirá a entender cómo se desarrolló la multicelularidad animal; “es decir, en qué momento y cómo las células empezaron a comunicarse entre ellas, juntarse o especializarse, formando organismos cada vez más complejos. El desarrollo de la multicelularidad animal es muy importante desde el punto de vista de biología básica”, añade Urrutia, que ha realizado la investigación a caballo entre el CEFAS en el Reino Unido, la Estación Marina de Plentzia (PIE) en el País Vasco y el Instituto de Biología Evolutiva (IBE) en Barcelona.
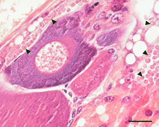
![[Img #65809]](https://noticiasdelaciencia.com/upload/images/02_2022/1633_hallan-un-microorganismo-en-la-frontera.jpg)
Imagen microscópica de Txikispora philomaios parasitando hemocitos, tejidos conectivos y gónadas femeninas de un anfípodo (Foto: Ander Urrutia / UPV/EHU)
Tal como explica Urrutia, Txikispora no solo es una especie nueva, sino que da nombre a un género nuevo, una familia nueva, y un orden nuevo… Es decir, ahora tenemos a la nueva familia Txikisporidae, una familia con bastantes secuencias crípticas, es decir, trozos de ADN desconocidos que se parecen mucho a Txikispora, que también podrían pertenecer a parásitos, pero que ni sabemos dónde están ni que animales podrían parasitar. Muchas de ellas están en ecosistemas acuáticos de Europa, pero no sabemos nada más acerca de ellos. Esa es otra línea de investigación que me gustaría seguir”.
Los investigadores de la UPV/EHU han sido los encargados de poner nombre a dicho parásito. El nombre de Txikispora es debido a que se trata de una pequeña espora, y philomaios es debido a que el parásito solo aparecía unos pocos días durante mayo: ‘amante de mayo’. A la dificultad de ubicarlo filogenéticamente en su correspondiente grupo se ha sumado la dificultad de encontrarlo en aguas marinas: Los autores del estudio estuvieron buscándolo infructuosamente “hasta darnos cuenta de que solo se encuentra en la comunidad de anfípodos unos pocos días durante ese mes; es como si el resto del año el parásito desapareciera”, explica Urrutia.
Esta investigación está enmarcada en la tesis doctoral de Ander Urrutia, titulada “Cryptic reservoirs of micro-eukaryotic parasites in ecologically relevant intertidal invertebrates from temperate coastal ecosystems”, dirigida por Ionan Marigomez (director de la Estación Marina de Plentzia – PiE) y Stephen W. Feist del CEFAS (Reino Unido). En el estudio han contado también con la colaboración de Iñaki Ruiz Trillo del Instituto de Biología Evolutiva (IBE). Los hallazgos de la investigación se han publicado en la revista académica Journal of Eukaryotic Microbiology, bajo el título “Txikispora philomaios n. sp., n. g., a micro-eukaryotic pathogen of amphipods, reveals parasitism and hidden diversity in Class Filasterea”. (Fuente: UPV/EHU)



