Medicina
Posible vía para derrotar a la leucemia mieloide aguda
La leucemia mieloide aguda, que afecta a las células de la sangre y la médula ósea, es una forma de cáncer especialmente peligrosa. Más de la mitad de los pacientes menores de 60 años mueren. Este porcentaje se eleva al 85 por ciento para los pacientes mayores de 60 años.
Un equipo que incluye a especialistas de la Universidad de Ginebra (UNIGE) en Suiza, y del Instituto Nacional francés de Salud e Investigación Médica (INSERM), ha identificado un mecanismo, desconocido hasta ahora, que podría conducir al desarrollo de nuevas terapias contra la leucemia mieloide aguda.
Jérôme Tamburini y sus colegas han descubierto cómo desencadenar la apoptosis (suicidio celular) en las células de dicha leucemia. El modo de desencadenarla es bloqueando en el estado adecuado su mecanismo de mantenimiento de la energía. Esto se lograría mediante la activación selectiva de la AMPK, una enzima clave en el equilibrio energético de las células tumorales, que provocaría la muerte de estas al desencadenar la respuesta de estrés de las células.
La estrategia se basa en la observación de que una sustancia, denominada GSK621, ha demostrado ser un excelente activador de AMPK in vitro. Aunque el GSK621 no fue diseñado para ser un fármaco, actualmente hay otros productos en fase de ensayo clínico para combatir enfermedades metabólicas, que activan la vía de la AMPK.
![[Img #65866]](https://noticiasdelaciencia.com/upload/images/03_2022/4082_posible-via-para-derrotar-a-la-leucemia-mieloide-aguda.jpg)
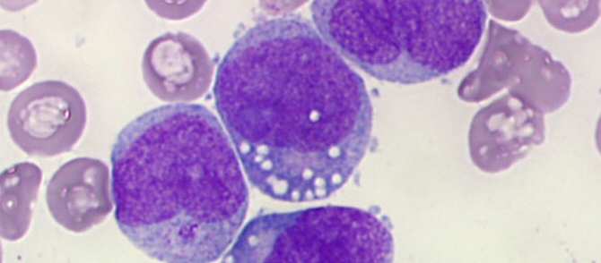
La activación selectiva de la enzima AMPK provocaría la muerte de las células de la leucemia (en morado en esta imagen). (Foto: Jérôme Tamburini / UNIGE)
Tamburini y sus colegas detallan los últimos progresos que han conseguido en esta línea de investigación en la revista académica Cell Reports, bajo el título “AMPK-PERK axis represses oxidative metabolism and enhances apoptotic priming of mitochondria in acute myeloid leukemia”. (Fuente: NCYT de Amazings)



