Tecnología médica
Nanopartículas de óxido de hierro contra el coronavirus de la COVID-19
Unos científicos han comprobado que las nanopartículas de óxido, usadas en algunos tratamientos médicos, disminuyen la replicación celular del coronavirus SARS-CoV-2.
Concretamente, estos investigadores, del Consejo Superior de Investigaciones Científicas (CSIC) en España, han encontrado actividad antiviral contra el SARS-CoV-2 en las nanopartículas de óxido y oxihidróxido de hierro. Los resultados de los experimentos, realizados en cultivos celulares, sugieren que el estrés oxidativo y la interferencia con el metabolismo intracelular del hierro que producen podría ser la causa de su efecto antiviral. Esto invita a pensar, además, que la replicación del virus podría depender de los niveles intracelulares de hierro.
Estudios previos habían identificado que las nanopartículas de óxido de hierro tenían un efecto antiviral contra el virus de la gripe, por lo que investigadores del CSIC en el Centro Nacional de Biotecnología (CNB) y el Instituto de Ciencia de Materiales de Madrid, (ICMM) iniciaron una colaboración para estudiar si las nanopartículas de óxido y oxihidróxido de hierro también podrían tener actividad antiviral contra el SARS-CoV-2.
“Gracias a la posibilidad de controlar su distribución corporal, su fácil detección por diversas técnicas de imagen médica, su biocompatibilidad y el bajo coste de su producción, los óxidos de hierro magnéticos en forma de nanopartículas estables en agua, representan una alternativa muy interesante en el tratamiento y diagnóstico de diferentes enfermedades”, explica María del Puerto Morales, investigadora del ICMM. Los procesos de síntesis desarrollados en su grupo permiten la obtención de nanopartículas uniformes en tamaño y forma, agregación controlada y pureza química.
Domingo F. Barber, investigador del CNB, detalla que ya se había visto que las nanopartículas de óxido se acumulan en el interior de las células en vesículas llamadas lisosomas. “Es ahí donde con el tiempo se degradan, induciendo estrés oxidativo y alterando el metabolismo intracelular del hierro. Dado que el estrés oxidativo afecta a la estabilidad de la membrana lipídica del virus de la gripe y reduce su capacidad de infección, pensamos que podría ocurrir lo mismo con el SARS-CoV-2 y decidimos tratar células infectadas con SARS-CoV-2 con diferentes tipos de nanopartículas, unas producidas por el grupo del ICMM y otras comerciales, como son un antianémico y un agente de contraste de resonancia magnética”, indica Barber.
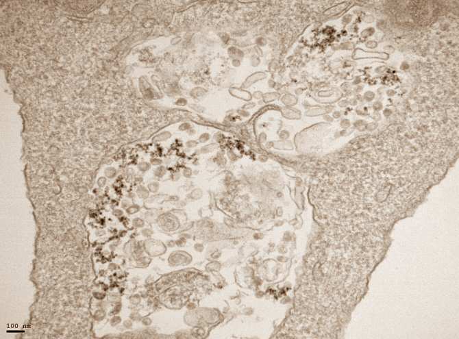
![[Img #66774]](https://noticiasdelaciencia.com/upload/images/08_2022/9952_nanoparticulas-de-oxido-de-hierro-contra.jpg)
Imagen de microscopía de transmisión electrónica de células infectadas con SARS-CoV-2 y tratadas con nanopartículas de óxido de hierro. (Foto: Yadileiny Portillla y Servicio de Microscopía Electrónica, CNB-CSIC)
Marta López de Diego, también investigadora del CNB, recalca el valor de sus resultados. “El tratamiento de cultivos celulares con nanopartículas de óxido y oxihidróxido de hierro disminuye la replicación viral, tanto cuando las células se tratan con las nanopartículas antes de la infección para prevenirla, como cuando se tratan las células infectadas para eliminar el virus, sugiriendo que estas nanopartículas podrían ser usadas como tratamientos profilácticos y terapéuticos”, explica la investigadora.
La inducción por parte de las nanopartículas de óxido de hierro de estrés oxidativo y la interferencia con el metabolismo intracelular del hierro, podrían ser los mecanismos de su efecto antiviral. Además, al utilizar un fármaco antianémico y un agente de contraste, también se observa una reducción de la infección, por lo que sería interesante reevaluar estos compuestos como posibles agentes antivirales contra el SARS-CoV-2 u otras infecciones virales que pudiesen surgir, mientras se siguen desarrollando antivirales específicos.
El estudio se titula “Iron oxide and iron oxyhydroxide nanoparticles impair SARS‑CoV‑2 infection of cultured cells”. Y se ha publicado en la revista académica Journal of Nanobiotechnology. (Fuente: CSIC)



