Medicina
Descubren una sustancia que ayuda a madurar a las células del páncreas y limita el desarrollo de tumores
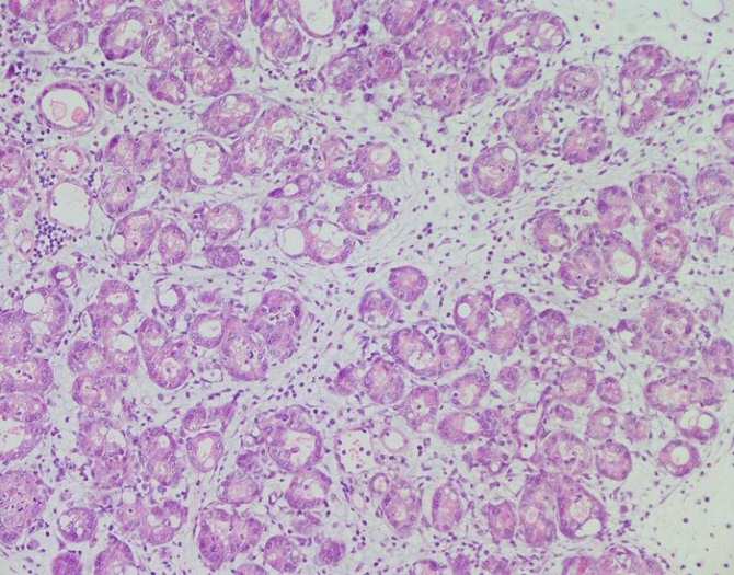
El páncreas, situado detrás del estómago, gestiona el suministro de energía de nuestro organismo. Lo hace segregando las proteínas (enzimas) responsables de que la glucosa, el principal combustible del cuerpo, llegue a otros órganos en el momento y cantidad necesarios. Estas proteínas se generan en las llamadas células acinares, que constituyen el 85% del páncreas y cuyo funcionamiento preciso aún está en investigación.
Un equipo integrado, entre otros, por Francisco X. Real y Isidoro Cobo, del Grupo de Carcinogénesis Epitelial del Centro Nacional de Investigaciones Oncológicas (CNIO) en España, ha hallado un nuevo componente relacionado con el funcionamiento de las células acinares y los procesos que participan en la formación de tumores en el páncreas.
Los investigadores han descubierto que una sustancia llamada NFIC es decisiva para el correcto funcionamiento de las células acinares.
Los autores del estudio han comprobado que si se desactiva NFIC, las células acinares no maduran correctamente, y el páncreas responde peor a los daños y se vuelve más propenso a iniciar la formación de tumores.
Este hallazgo ayudará a entender qué ocurre cuando los procesos normales fallan y se originan el cáncer u otras lesiones.
“Las células acinares son grandes factorías de proteínas”, explica Real. “En nuestro laboratorio nos interesa saber cómo trabajan, porque cuando su función se perturba se favorece el desarrollo del tumor. El descubrimiento del papel de NFIC supone un paso más en el conocimiento de cómo las células del páncreas evitan mecanismos alternativos a su funcionamiento normal, que puedan favorecer el desarrollo del cáncer”.
![[Img #69174]](https://noticiasdelaciencia.com/upload/images/07_2023/5985_descubren-una-sustancia-que-ayuda-a-madurar.jpg)
Células acinares del páncreas, en proceso de inflamación. (Foto: Isidoro Cobo / CNIO. CC BY)
Hasta ahora se sabía que NFIC participa en la formación de los dientes y en los cambios propios de la lactancia en las glándulas mamarias, y también coarta la activación de algunos genes que pueden causar ciertos tumores de mama, pero se desconocía que tuviera una función en el páncreas. El nuevo estudio ha concretado su papel ayudando a que las células acinares funcionen adecuadamente.
El cáncer de páncreas es el tercer tipo de cáncer con mayor mortalidad en España (la Sociedad Española de Oncología Médica registró 7.663 fallecimientos en 2021). Con un rápido desarrollo y alta probabilidad de metástasis, su tratamiento habitual es la cirugía.
El estudio se titula “NFIC regulates ribosomal biology and ER stress in pancreatic acinar cells and restrains PDAC initiation”. Y se ha publicado en la revista académica Nature Communications. (Fuente: CNIO)



