Neurología
Avance hacia el diagnóstico temprano de ciertas demencias
Mucha gente en el mundo está afectada por la enfermedad de Alzheimer. Solo en España, la cifra asciende a más de 800.000 personas, lo que supera la población completa de una ciudad, por ejemplo, como Valencia, y esta cantidad sigue en aumento. Junto con el Alzheimer, existen otros tipos de demencia menos conocidos, pero con síntomas similares tales como problemas de memoria, orientación o comportamiento. Los médicos suelen tener dificultades para diagnosticar estos otros tipos de demencia, ya que hay menos información disponible sobre ellos.
Recientemente, un grupo de investigación de la Universidad Politécnica de Madrid (UPM) en España, junto con investigadores de la Fundación CIEN y con apoyo de la Fundación Reina Sofía, han estudiado la progresión de uno de estos tipos de demencia ꟷla denominada esclerosis del hipocampoꟷ y han descubierto que podría detectarse de forma temprana utilizando resonancia magnética.
Cada tipo de demencia se diferencia por las lesiones que causa en el cerebro. Estas lesiones se llaman patologías y su presencia solo puede confirmarse analizando el cerebro al microscopio, tras el fallecimiento de los pacientes. Además, la mayoría de los pacientes con demencia presentan varias de estas patologías al mismo tiempo, lo que complica más aún el diagnóstico. A pesar de estos obstáculos, un diagnóstico preciso es vital para entender las diferencias clínicas entre pacientes y mejorar el tratamiento de cada tipo de demencia.
Gracias al estudio liderado por los investigadores Bryan Strange ꟷde la Universidad Politécnica de Madridꟷ y Alberto Rábano ꟷde la Fundación CIENꟷ, así como por las investigadoras Diana Ortega-Cruz y Alicia Uceda-Heras, ahora se podrá entender mejor la progresión de una de las patologías asociadas a la demencia. En concreto, se trata de la esclerosis del hipocampo, una patología que a día de no puede ser detectada durante la vida de los pacientes.
Para entender mejor esta patología, el equipo de investigación evaluó muestras cerebrales de pacientes con demencia pertenecientes a la cohorte Alzheimer de Vallecas – Centro Alzheimer Fundación Reina Sofía (CAV-CAFRS). Este es un proyecto singular, desarrollado por la Fundación CIEN con el apoyo y equipamiento de la Fundación Reina Sofía, que permite estudiar la trayectoria clínica de pacientes con demencia que donan generosamente su cerebro al Banco de Tejidos de la Fundación CIEN. Bajo el microscopio, los investigadores han observado cambios asociados a fases tempranas de la esclerosis del hipocampo y han conseguido establecer un sistema para evaluar su severidad. Este sistema reveló importantes diferencias clínicas, ya que los pacientes en estadios más avanzados de la enfermedad presentaban un peor estado cognitivo. Además, analizando imágenes de resonancia magnética del cerebro de estos pacientes, se pudo comprobar que esta clasificación también reflejaba cambios en la estructura cerebral asociados a esta patología.
Estos resultados dieron pie a un trabajo posterior en el que se utilizaron datos de seguimiento de neuroimagen de estos pacientes. Los investigadores analizaron resonancias obtenidas durante más de una década, y detectaron que los cambios estructurales asociados a la esclerosis del hipocampo estaban presentes más de 11 años antes de su observación al microscopio. Hasta el momento, esta patología se entendía como una lesión tardía, presente en personas muy mayores, ya que solo podía evaluarse tras la muerte. Los resultados de esta investigación permiten comprender la duración de esta enfermedad durante la vida de los pacientes, lo que podría servir para su detección temprana.
![[Img #69978]](https://noticiasdelaciencia.com/upload/images/10_2023/9993_avance-hacia-el-diagnostico-temprano.jpg)
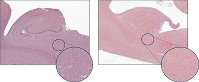
La esclerosis del hipocampo (EH) vista al microscopio. A la izquierda, un hipocampo sin EH (estadio 0) y a la derecha, uno afectado por EH avanzada (estadio IV). Fijándose en el círculo, se puede apreciar la pérdida masiva de neuronas (marcadas en azul) con la EH. (Imágenes: UPM)
En definitiva, comparar datos de seguimiento de pacientes con su diagnóstico definitivo al microscopio permite obtener marcadores de diagnóstico temprano. “Nuestro trabajo revela que la resonancia magnética podría anticipar la presencia de la esclerosis del hipocampo de forma no invasiva, contribuyendo así a un diagnóstico más preciso de la demencia”, declara la investigadora Diana Ortega-Cruz.
El primer estudio se titula “Hippocampal sclerosis of aging at post-mortem is evident on MRI more than a decade prior”. El segundo, “A novel histological staging of hippocampal sclerosis that is evident in gray matter loss in vivo”. Ambos se han publicado en la revista académica Alzheimer’s and Dementia. (Fuente: UPM)



