Medicina
Hidrocefalia: Qué es, causas, síntomas y tratamientos de esta condición neurológica
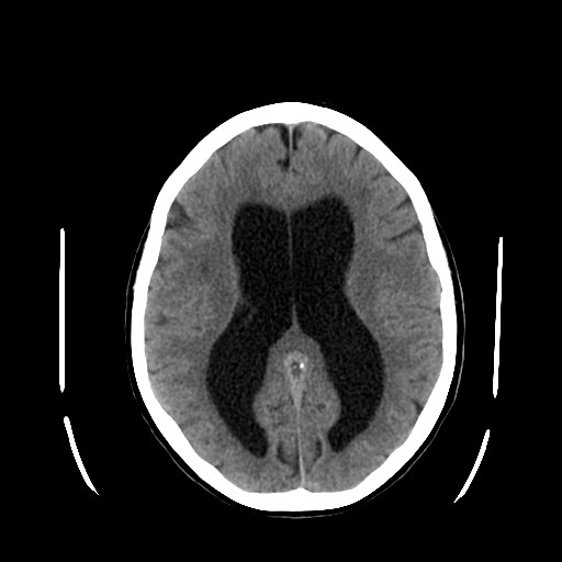
La hidrocefalia es una condición neurológica caracterizada por la acumulación anormal de líquido cefalorraquídeo (LCR) en los ventrículos del cerebro. Este exceso de líquido puede provocar un aumento de la presión intracraneal, daño cerebral y, si no se trata a tiempo, consecuencias graves para la salud. Aunque suele asociarse a la infancia, puede afectar a personas de todas las edades.
El término “hidrocefalia” proviene del griego y significa “agua en la cabeza”. Sin embargo, el “agua” en cuestión es el líquido cefalorraquídeo, un fluido claro que rodea el cerebro y la médula espinal. Su función es proteger el sistema nervioso central, eliminar desechos metabólicos y transportar nutrientes.
En condiciones normales, el LCR circula de forma constante y es reabsorbido por el organismo. La hidrocefalia ocurre cuando este equilibrio se rompe, ya sea por una producción excesiva de líquido, un bloqueo en su circulación o una deficiencia en su reabsorción.
Tipos de hidrocefalia
-Hidrocefalia congénita: Presente al nacer, suele deberse a malformaciones del sistema nervioso central, como la espina bífida o el síndrome de Dandy-Walker.
-Hidrocefalia adquirida: Se desarrolla en cualquier etapa de la vida, a menudo como consecuencia de hemorragias cerebrales, traumatismos, infecciones (como meningitis), tumores o complicaciones quirúrgicas.
-Hidrocefalia normotensiva del adulto (HNT): Es una forma crónica que afecta principalmente a adultos mayores. A pesar de una presión intracraneal normal, el LCR se acumula, provocando síntomas que a menudo se confunden con enfermedades como el Alzheimer o el Parkinson.
![[Img #76625]](https://noticiasdelaciencia.com/upload/images/08_2025/7853_hydrocephalus.jpg)
(Foto: Wikimedia Commons)
Causas principales
-Obstrucción en el flujo del LCR (por ejemplo, en el acueducto de Silvio)
-Infecciones del sistema nervioso central
-Hemorragias intracraneales
-Traumatismos craneoencefálicos
-Tumores cerebrales
-Complicaciones postoperatorias
Síntomas de la hidrocefalia
Los síntomas varían según la edad del paciente y el tipo de hidrocefalia:
En bebés:
-Aumento anormal del tamaño de la cabeza
-Fontanelas abultadas
-Irritabilidad
-Vómitos
-Somnolencia
-Pobre desarrollo motor
En niños mayores y adultos:
-Dolor de cabeza
-Náuseas y vómitos
-Visión borrosa o doble
-Problemas de equilibrio y coordinación
-Dificultades cognitivas
-Incontinencia urinaria (especialmente en la HNT)
-Cambios de personalidad
Diagnóstico
El diagnóstico de la hidrocefalia se basa en una combinación de evaluación clínica e imágenes cerebrales. Las técnicas más utilizadas incluyen:
-Ecografía craneal (en lactantes)
-Tomografía computarizada (TC)
-Resonancia magnética (RM)
-Prueba de drenaje lumbar o punción espinal (en casos de HNT)
Tratamiento de la hidrocefalia
El tratamiento estándar es quirúrgico. Las dos principales opciones son:
1. Derivación ventrículo-peritoneal (DVP):
Consiste en la implantación de una válvula y un tubo que drena el exceso de LCR desde el cerebro hacia otra parte del cuerpo (generalmente el abdomen), donde puede ser absorbido.
2. Tercer ventriculostomía endoscópica (ETV):
Procedimiento mínimamente invasivo que crea una vía alternativa para que el LCR fluya fuera del cerebro, evitando así la necesidad de una derivación.
El tratamiento debe individualizarse según el tipo de hidrocefalia, la edad del paciente y su estado general de salud.
Pronóstico y calidad de vida
Con un diagnóstico precoz y un tratamiento adecuado, muchas personas con hidrocefalia pueden llevar una vida relativamente normal. Sin embargo, algunas pueden presentar secuelas cognitivas o motoras que requerirán apoyo multidisciplinario (rehabilitación, fisioterapia, apoyo psicológico, etc.).
En el caso de la hidrocefalia normotensiva del adulto, el reconocimiento temprano es crucial para evitar un deterioro irreversible de las funciones cognitivas y motoras.
Hidrocefalia y ciencia actual
La investigación médica continúa explorando nuevas formas de diagnóstico precoz, materiales más duraderos para las válvulas y técnicas quirúrgicas menos invasivas. Además, se está investigando el papel de factores genéticos y moleculares en el desarrollo de la hidrocefalia congénita, lo que podría abrir la puerta a terapias preventivas en el futuro.



